切换至 "中华医学电子期刊资源库"
超声医学质量控制

基于C-TIRADS词典的甲状腺结节超声结构化报告使用评价

  • 刘畅 1 ,
  • 蒋洁 , 1, ,
  • 胥雪冬 2 ,
  • 崔立刚 1 ,
  • 张睿超 1 ,
  • 王淑敏 1 ,
  • 陈文 1
展开
  • 1 100191 北京,北京大学第三医院超声医学科,北京市海淀区超声医学质量控制和改进中心
  • 2 100191 北京,北京大学第三医院医务处

通信作者:

蒋洁,Email:

Copy editor: 吴春凤

收稿日期: 2025-02-27

  网络出版日期: 2025-10-01

版权

未经授权,不得转载、摘编本刊文章,不得使用本刊的版式设计,除非特别声明,本刊刊出的所有文章不代表中华医学会和本刊编委会的观点。本刊为电子期刊,以网刊形式出版。

Clinical utilization of C-TIRADS-based structured ultrasound report for thyroid nodules among ultrasound physicians

  • Chang Liu 1, 2 ,
  • Jie Jiang , 1, 2, ,
  • Xuedong Xu 1 ,
  • Ligang Cui 1, 2 ,
  • Ruichao Zhang 1, 2 ,
  • Shumin Wang 1, 2 ,
  • Wen Chen 1, 2
Expand
  • 1 Department of Ultrasound, Peking University Third Hospital, Ultrasound Medical Quality Control and Improvement Center of Haidian District, Beijing 100191, China
  • 2 Medical Department, Peking University Third Hospital, Beijing 100191, China

Corresponding author:

Jiang Jie, Email:

Received date: 2025-02-27

  Online published: 2025-10-01

Copyright

Copyright by Chinese Medical Association No content published by the journals of Chinese Medical Association may be reproduced or abridged without authorization. Please do not use or copy the layout and design of the journals without permission. All articles published represent the opinions of the authors, and do not reflect the official policy of the Chinese Medical Association or the Editorial Board, unless this is clearly specified.

摘要

目的

探究基于C-TIRADS词典的甲状腺结节超声结构化报告在各地医疗机构超声医师中的使用评价。

方法

选取2024年3月1日至2025年1月31日期间,于北京大学第三医院超声医学科进修学习的117名进修医师作为调查对象,采用线上调查问卷的形式,收集并分析其对基于C-TIRADS词典的甲状腺结节超声结构化报告模板的评价,内容涵盖模板的优点、不足,以及推广结构化报告过程中可能遇到的阻力。

结果

本研究最终纳入有效问卷117份。与自由文本式报告相比,基于C-TIRADS的结构化报告具备多方面优势,包括提升报告质量(108/117,92.31%)、规范诊断思维和书写习惯(101/117,86.32%)、提高分类诊断的严谨性和逻辑性(99/117,84.62%)、有效降低文字相关低级错误(96/117,82.05%)、节省工作时间(93/117,79.49%)、有助于住院医师的规范化培训(82/117,70.09%)和临床-影像-患者沟通顺畅(65/117,55.56%)等。有待改进之处主要集中在文字编辑不方便(16/34,47.06%)和模式呆板,缺乏自主性(17/34,50.00%)。98.29%(115/117)的进修医师认为,在甲状腺超声规范化扫查和质量控制过程中,有必要推广结构化报告,其间最大的阻力可能源自科室内超声医师的意识和观念(50/117,42.74%)、科室硬件条件(39/117,33.33%)和超声医师的技术水平(16/117,13.68%)。

结论

基于C-TIRADS词典的甲状腺结节超声结构化报告优点显著,是一种基于规范化和标准化的报告方式,在临床实践中具有推广使用的必要性。

本文引用格式

刘畅 , 蒋洁 , 胥雪冬 , 崔立刚 , 张睿超 , 王淑敏 , 陈文 . 基于C-TIRADS词典的甲状腺结节超声结构化报告使用评价[J]. 中华医学超声杂志(电子版), 2025 , 22(07) : 620 -627 . DOI: 10.3877/cma.j.issn.1672-6448.2025.07.006

Abstract

Objective

To evaluate the utilization of the Chinese thyroid imaging reporting and data system (C-TIRADS)-based structured ultrasound report for thyroid nodules among ultrasound physicians across various medical institutions.

Methods

From March 1, 2024 to January 31, 2025, 117 physicians undergoing further training in the Department of Ultrasound of Peking University Third Hospital were surveyed. Their evaluations on the C-TIRADS-based structured report for thyroid nodules were collected in the form of an online questionnaire and analyzed. The survey encompassed the advantages and disadvantages of the template, as well as potential barriers to its widespread promotion.

Results

A total of 117 valid questionnaires were finally included in this study. The C-TIRADS-based structured report demonstrated several advantages over free-text reports, such as enhanced report quality (108/117, 92.31%), standardized diagnostic thinking and writing practices (101/117, 86.32%), increased rigor and logical coherence in classification diagnosis (99/117, 84.62%), reduced text-related errors (96/117, 82.05%), time efficiency (93/117, 79.49%), facilitation of standardized resident physician training (82/117, 70.09%), and improved communication among clinicians, radiologists, and patients (65/117, 55.56%). The areas that need improvement mainly focus on the inconvenience of text editing (16/34, 47.06%) and the rigid structure with limited autonomy (17/34, 50.00%). The majority (98.29%, 115/117) of the physicians believed that it is necessary to promote the usage of the structured report in standardized thyroid ultrasound scanning and quality control processes. The primary obstacles were attributed to the awareness of ultrasound doctors in the department (50/117, 42.74%), hardware conditions (39/117, 33.33%), and technical proficiency of ultrasound doctors (16/117, 13.68%).

Conclusion

The C-TIRADS-based structured ultrasound report for thyroid nodules has significant advantages and represents a standardized and normalized reporting approach, which is worthy of promotion in clinical practice.

甲状腺结节的发病率近年呈显著上升趋势,甲状腺结节在普通人群中的检出率达68%1,其中大部分为良性结节,恶性结节占7%~15%2。超声检查凭借无创、便捷、实时、分辨率高及可重复性强等优势,成为甲状腺结节筛查、诊断和随访的首选影像学检查手段。然而,由于恶性结节声像图表现复杂多样,且与良性结节的超声特征存在交叉重叠3,加之传统自由文本式报告依赖超声医师的主观描述,导致报告质量参差不齐,诊断一致性和数据利用效率低等。
自由文本式报告虽具有灵活性,但其局限性也不容忽视。首先,术语和描述的差异性可能引发临床解读偏差,缺乏标准化定义;其次,自然语言的非结构化特性降低了数据检索与分析效能,难以支持大规模临床研究或人工智能模型训练;再者,自由文本式报告难以保证结节特征描述的完整性和全面性,关键超声征象描述缺失的情况难以避免,尤其是在超声医师工作强度较大的情况下。
结构化报告通过预先设定的标准化格式和内容,要求检查者按照统一规范系统描述和记录检查所见。有研究显示,乳腺超声结构化报告显著提升了住院医师的规范化培训效果4;直肠癌磁共振结构化报告被证实有助于优化临床决策并促进多学科协作5。然而,目前尚无甲状腺结节超声结构化报告的系统性研究。尽管中国版甲状腺影像报告和数据系统(Chinese thyroid imaging reporting and data system,C-TIRADS)指南为甲状腺结节提供了标准化超声影像词典,但如何将其与结构化报告深度整合,并评估其临床应用价值,仍需探索和研究。
经过反复实践,北京大学第三医院超声医学科创新性地制定了一套基于C-TIRADS词典的甲状腺结节超声结构化报告模板,该模板以条理清晰、逻辑严谨、内容全面的框架形式,整合了描述甲状腺结节的关键信息,不仅严格遵循C-TIRADS指南中的征象定义,还通过预设逻辑框架强化了诊断的规范性。本研究以进修医师为研究对象展开使用评价调查,旨在通过了解上述甲状腺结节结构化报告模板在全国各地各级医疗机构超声医师中的认可度和满意度,为该模板的优化完善,以及在更大范围内的推广应用提供科学、客观的依据,填补该领域的研究空白。

资料与方法

一、对象

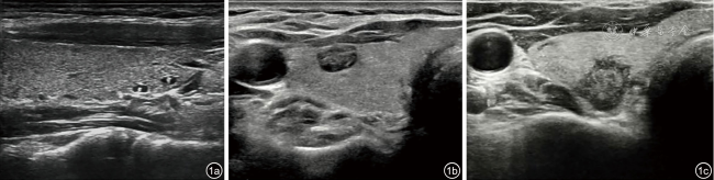
本研究选取2024年3月1日至2025年1月31日期间在北京大学第三医院超声医学科进修学习的117名进修医师作为调查对象。进修医师进修学习时间均为6个月,承担门诊超声报告记录员的工作,均可熟练使用本院制定的甲状腺结节结构化报告模板(图1)。
图1 基于甲状腺结节超声恶性危险分层的中国指南(C-TIRADS)词典的甲状腺结节超声结构化报告临床应用举例。图a结节描述为“甲状腺右叶可见多发结节,大者大小约0.3 cm×0.2 cm×0.1 cm(头足径×左右径×前后径),呈囊性,呈无回声,结节边缘光整,无声晕,纵横比≤1,结节内可见点状强回声伴彗星尾,结节内未见明显血流信号”,结节符合C-TIRADS 2类,考虑胶质囊肿;图b结节描述为“甲状腺右叶可见一结节,大小约0.8 cm×0.7 cm×0.4 cm(头足径×左右径×前后径),呈海绵状,结节边缘光整,无声晕,纵横比≤1,结节内无局灶强回声,结节内可见较丰富血流信号”,结节符合C-TIRADS 3类,考虑结节性甲状腺肿;图c结节描述为“甲状腺右叶可见一结节,位于中部,与后被膜相邻,大小约1.2 cm×0.9 cm×1.0 cm(头足径×左右径×前后径),呈实性,呈低回声,结节边缘不规则,无声晕,纵横比>1,结节内可见点样强回声,结节内可见少量血流信号”,结节符合C-TIRADS 4C类,手术病理证实为甲状腺乳头状癌。对于C-TIRADS分类在4类及以上的结节,需如本例所示,描述结节的具体位置

二、方法

1. 问卷制定:根据调查内容自制网络调查问卷,按照社会学问卷调查原则进行制作,先草拟调查问卷具体项目,然后根据实际情况进行可信性、可靠性论证,同时征求相关领域专家意见后进行修改,最终制成调查问卷。
2. 问卷内容:问卷全部设计为必选选择题,包括单选题和多选题。问卷内容主要分为3部分:第1部分为基础信息,包括进修医师的性别、年龄、最高学历、工作医院的级别、从事超声专业的工作年限和职称;第2部分为工作单位甲状腺超声检查及C-TIRADS分类使用现状,包括是否已开展甲状腺超声检查及日均工作量、是否常规进行TIRADS分类及所使用的分类系统、检查时是否使用结构化报告模板;第3部分为针对北京大学第三医院已常规使用的基于C-TIRADS词典的甲状腺结节超声结构化报告模板进行使用评价,包括该模板的优点、不足和推广结构化模板过程中可能遇到的阻力。
3.问卷填报:于2025年1月31日依托微信问卷星小程序发放问卷,进修医师根据实际情况在线匿名填报。利用微信群接龙方式,统计问卷填报提交情况,避免漏报和重复填报的发生。

三、统计学分析

使用Excel软件进行统计分析,计数资料以频数和构成比表示。

结果

一、进修医师基本信息

本研究共计回收有效问卷117份。在性别、年龄、最高学历、从事超声专业工作年限和职称方面(表1),参与调查的进修医师中占比最高的分别是女性(88/117,75.21%)、31~40岁年龄段(92/117,78.63%)、大学本科学历(71/117,60.68%)、已从事超声专业5~10年(48/117,41.03%)和中级职称(96/117,82.05%)。这117名进修医师来自117家不同医疗机构,分布于全国27个省、自治区、直辖市(表2),以三级医院为主(104/117,88.89%)。
表1 参与甲状腺结节结构化超声报告模板相关问卷调查的进修医师的基本情况(n=117)
项目 人数[人(%)] 项目 人数[人(%)]
性别 最高学历
29(24.79) 大学专科 1(0.85)
88(75.21) 大学本科 71(60.68)
年龄 硕士研究生 43(36.75)
30岁以下 2(1.71) 博士研究生 2(1.71)
31~40岁 92(78.63) 职称
41~50岁 21(17.95) 高级职称 19(16.24)
51~60岁 2(1.71) 中级职称 96(82.05)
60岁以上 0(0) 初级职称 2(1.71)
从事超声专业工作年限 工作医院级别
0~5年 9(7.69) 三级医院 104(88.89)
5~10年 48(41.03) 二级医院 9(7.69)
10~15年 46(39.32) 一级医院 3(2.56)
15~20年 11(9.40) 其他 1(0.85)
超过20年 3(2.56)
表2 参与甲状腺结节结构化超声报告模板相关问卷调查的进修医师工作医院所在省、自治区、直辖市分布统计表(n=117)
省、自治区、直辖市 人数 省、自治区、直辖市 人数
山东省 17 甘肃省 4
河北省 11 安徽省 3
北京市 7 湖北省 3
福建省 6 云南省 3
广西壮族自治区 6 天津市 2
四川省 6 黑龙江省 2
新疆维吾尔自治区 6 江西省 2
山西省 5 重庆市 2
内蒙古自治区 5 吉林省 1
河南省 5 浙江省 1
广东省 5 海南省 1
辽宁省 4 贵州省 1
江苏省 4 陕西省 1
湖南省 4

二、进修医师的工作单位甲状腺超声检查及C-TIRADS分类使用现状

参与调查的117名进修医师的工作单位均已开展甲状腺超声检查,日均工作量在10~50人次/d居多(63/117,53.85%);其中,95.73%(112/117)的医疗机构对甲状腺结节进行TIRADS分类,所使用的分类系统包括C-TIRADS(87/117,74.36%)和美国放射学会(American College of Radiology,ACR)TIRADS(25/117,21.37%);书写报告时,52.14%的医疗机构使用结构化报告,47.86%的医疗机构使用自由文本式报告(表3)。
表3 参与问卷调查的进修医师所在工作单位甲状腺超声检查及TIRADS分类使用现状
项目 人数[人(%)]
甲状腺超声检查日均工作量
<10人次/d 11(9.40)
10~50人次/d 63(53.85)
51~100人次/d 29(24.79)
101~200人次/d 7(5.98)
>200人次/d 7(5.98)
是否进行TIRADS分类
进行 112(95.73)
不进行 5(4.27)
使用何种TIRADS分类系统
未分类 5(4.27)
ACR-TIRADS 25(21.37)
C-TIRADS 87(74.36)
ATA指南 0(0)
其他 0(0)
是否使用结构化报告
61(52.14)
56(47.86)

注:TIRADS为甲状腺影像报告和数据系统,C-TIRADS为甲状腺结节超声恶性危险分层的中国指南;ACR-TIRADS为美国放射学会甲状腺影像报告和数据系统;ATA指南为美国甲状腺协会成人甲状腺结节与分化型甲状腺癌诊疗指南

三、基于C-TIRADS词典的甲状腺结节超声结构化报告模板的使用评价

本研究通过设置多选题收集进修医师对该结构化报告的使用评价,包括优点和不足,在此基础上利用单选题选择该模板最大的优点和不足(图2)。与传统的自由文本式报告相比,进修医师对基于C-TIRADS的结构化报告模板给予了高度认可。其优点被选频次由高到低排列依次为:提升报告质量(108/117,92.31%)、规范诊断思维和书写习惯(101/117,86.32%)、提高分类诊断的严谨性和逻辑性(99/117,84.62%)、有效降低文字相关低级错误(96/117,82.05%)、节省工作时间(93/117,79.49%)、有助于住院医师的规范化培训(82/117,70.09%)和临床-影像-患者沟通顺畅(65/117,55.56%)。与此结果一致的是,在选择结构化报告最大优点的单项选择中,52.15%(61/117)的进修医师再次选择了多选题中被选频次最高的“提升报告质量”选项。
图2 甲状腺结节超声结构化模板的使用评价。图a和图b分别对应评价该模板的优点(多选)和最大优点(单选);图c和图d分别对应评价该模板的不足(多选)和最大不足(单选)
尽管83名(83/117,70.94%)进修医师认为该结构化报告模板“没有不足”,但其余34名医师(34/117,29.06%)针对模板的不足之处给出了相应反馈,包括:模式呆板,缺乏自主性(17/34,50.00%)、文字编辑不方便(16/34,47.06%)、征象描述术语不规范(5/34,14.71%)、临床适用性差,临床和/或患者难以接受(2/34,5.89%)以及其他(7/34,20.59%)。在进行该模板最大不足之处的单项选择时,共计16名和13名医师分别选择了“文字编辑不方便”和“模式呆板,缺乏自主性”选项。
115名(115/117,98.29%)进修医师认为在甲状腺超声规范化扫查和质量控制过程中,有推广结构化报告的必要。其中,90.60%(106/117)的进修医师有意愿于进修结束后将北京大学第三医院超声医学科的报告模板向所在工作单位科室介绍和推荐,或在其已有模板基础上,以该模板作为参照,进一步优化和完善。结构化报告模板推广过程中可能遇到的工作阻力(图3)包括:临床科室无相关需求、患者意愿、科室内超声医师的意识和观念、科室内超声医师的技术水平、科室内报告记录员、科室硬件条件(如报告系统软件)等。其中,被调查者认为最大的阻力来自科室内超声医师的意识和观念(50/117,42.74%)、科室硬件条件(39/117,33.33%)和超声医师的技术水平(16/117,13.68%)。
图3 推广甲状腺结节超声结构化模板工作可能遇到的阻力。图a和图b分别对应可能遇到的阻力(多选)和最大阻力(单选)

讨论

超声报告作为超声医师对检查图像进行记录、描述并形成诊断意见的医疗文书,是超声医师与临床医师沟通的书面文件。出具描述全面、内容规范的超声报告,是衡量超声医疗质量的重要指标。全国范围内的调研结果显示,98.53%的超声医师认为在临床工作中需要内容规范、使用高效的超声报告模板系统6。根据报告形式不同,超声报告可以分为自由文本式报告和结构化报告两大类。
自由文本式报告受检查医师的专业知识、临床经验、语言习惯等多种因素影响,质量参差不齐。由于自然语言的丰富性,不同医师在分析同一病例时会使用不同的描述习惯和术语。这不仅给临床医师的解读带来困惑,还存在引发医疗纠纷的潜在风险。在大数据时代背景下,自由文本式报告也给数据检索和信息处理带来极大不便。
结构化报告是一种基于规范化和标准化的报告方式,它在提高报告准确性的同时,也为数据处理和分析提供了便利7。这种报告形式正逐渐被医疗机构所接受,并且经过不断改进和完善,实用性日益增强。目前,已有多项研究报道了结构化报告在肺栓塞8、冠心病9、直肠癌10-11、乳腺疾病4等多种临床常见病影像报告中的应用价值,但尚无关于甲状腺结节超声结构化报告的相关文献报道。
高美莹等6在调查分析我国超声报告模板使用现状时,针对超声报告中对甲状腺结节征象描述的全面性进行了问卷调查,发现只有约22.40%(832/3715)的医师认为目前出具的超声报告描述全面,即“每一份报告均会描述结节的成分、回声、形态(纵横比)、边缘、局灶性强回声”;而57.35%(2130/3715)的医师认为部分报告描述全面,20.27%(753/3715)只描述了部分特征。结构化报告最大的优势之一就是能够辅助超声医师全面、准确、条理清晰地描述甲状腺结节的声像图征象,可有效弥补我国甲状腺超声报告模板的不足。
结构化报告模板的构建需以定义明确的标准化语言为前提,以确保报告所表达的信息准确且一致。北京大学第三医院超声医学科使用的甲状腺结节超声结构化报告是以C-TIRADS词典为基础的一套规范、系统的报告模板,严格按照指南中各超声征象的定义对结节进行描述。其核心是描述结节的位置(左叶/右叶/峡部,上部/中部/下部)、大小(记为头足径×左右径×前后径)、方位(纵横比≤1/纵横比>1)、边缘(光整/不规则/模糊/向甲状腺外侵犯)、声晕(无声晕/有等厚声晕/有不等厚声晕)、结构(实性/实性为主/囊性为主/囊性/海绵状)、回声(低回声/极低回声/等回声/高回声/无回声)、局灶性强回声(无局灶性强回声/点样强回声/点样强回声伴彗星尾/意义不明确的点样强回声/斑块样强回声/边缘弧形强回声)和血流信息(结节内未见血流信号/结节内可见少量血流信号/结节内可见较丰富血流信号)。这些征象涵盖了与C-TIRADS危险分层密切相关的5个阳性指标:纵横比>1、实性、极低回声、点样强回声、边缘不规则或甲状腺外侵犯。该结构化报告模板具有以下3个显著优势:第一,通过预设逻辑框架,将结节超声征象与C-TIRADS分类相关联,有效提高诊断的准确性和严谨性;第二,针对不同危险分层的结节,模板提供差异化描述字段,能够更好地辅助临床诊疗;第三,在严格遵循C-TIRADS词典的基础上,也可以根据实际需求进行自定义编辑,为复杂情况或特殊病例预留了灵活调整的空间。
为了解该模板在全国各地各级医疗机构超声医师中的认可度和满意度,为该模板的优化完善以及在更大范围内的推广应用提供科学、客观的依据,本研究以在北京大学第三医院超声医学科进修学习的进修医师为研究对象,展开了使用评价调查。基本情况显示,进修医师构成以31~40岁年龄段、大学本科学历、从事超声专业5~10年和中级职称医师为主。他们具备较丰富的一线临床经验,在进修学习后,回到原工作单位往往成为新理念、新技术的传播者和践行者。他们对结构化报告模板的使用评价不仅基于自身学习体会,还融入了对工作单位实际条件与需求的考量。此外,这些进修医师来自全国27个省、自治区、直辖市,地域分布广泛,使得调查结果能更真实地反映不同地区医疗水平、患者群体特征及医疗资源配置差异下,对结构化报告的应用需求。
通过对进修医师工作单位甲状腺超声检查及C-TIRADS分类使用现状的调查,可全面了解其所在医疗机构的甲状腺超声诊疗水平和规范化程度。参与调查的117名进修医师的工作单位均已开展甲状腺超声检查,但日均工作量存在差异。进行TIRADS分类和使用结构化报告的医疗机构分别有112家(其中87家使用C-TIRADS,25家使用ACR-TIRADS)和61家。对于尚未使用TIRADS分类或结构化报告的医疗机构,该模板的引入可能面临更多观念转变与技术培训需求;而对于已经具备一定规范化基础的医疗机构,模板的优点与不足主要体现在对细节的把控和对词典中超声征象的正确理解上。
与自由文本式报告相比,进修医师对基于C-TIRADS的结构化报告模板给予了高度认可。对于该报告模板的优点,多选题中各选项被选择次数共计644次,平均每名进修医师选择了5.5个优点。基于C-TIRADS词典的结构化报告在节省工作时间、降低文字相关低级错误的同时,内容描述更全面,各超声征象定义明确,且与报告结论及C-TIRADS危险分层紧密相关,提高了分类诊断的严谨性和逻辑性,有助于临床决策。使用结构化报告能够实现对检查过程的部分质量控制,还可以使不同医院、不同医师所出具的超声报告具有可比性,利于患者随访。Ernst等12比较了结构化报告与自由文本式报告在头颈部超声评估中的应用价值,结果表明结构化报告具有时间效率高、可读性强的优点,显著增加了超声报告完整度和前后对比度。周燕翔等4的研究表明,乳腺超声的结构化报告有利于接受规范化培训的住院医师掌握病变特征及书写完整、专业的报告,有助于提升操作规范性和临床思维能力。
结构化报告虽然具备诸多优点,但也存在一些弊端13。如本研究中进修医师所反馈的“模式呆板,缺乏自主性”“文字编辑不方便”等。结构化报告内容虽然规范但却显得僵硬呆板,与临床联系更加紧密但个性化不足14-15,不能体现超声医师的个人价值。针对这一问题,本科室所使用的结构化报告模板在满足临床实践中大部分结节描述需求的同时,也为复杂情况或特殊病例预留了灵活调整的空间,可以根据实际需求进行自定义编辑,将结构化报告和自由文本式报告2种形式整合在一起,实现“科学”与“艺术”的综合体现。
结构化报告的应用有利于实现全国大范围超声检查的规范化与同质化,有利于改变超声描述多样化、报告结构不一致、结论不规范、报告不互认的现状16。本研究中,98.29%的进修医师认为有必要在甲状腺结节超声检查中推广结构化报告的使用,但在此进程中仍面临诸多阻力因素。其中,科室内超声医师的意识和观念(42.74%)和科室硬件条件(33.33%)是较为关键的因素。针对科内超声医师的意识和观念,未来可将结构化报告的使用纳入超声医师继续教育体系,结合案例教学展示其临床价值。Ernst等12的研究表明,短期集中培训可显著提高住院医师对结构化报告的认可度。此外,建议影像科室积极参与多学科病例讨论,让超声医师更好地了解临床诊疗需求及结构化报告在优化诊疗决策中的地位17-18。对于科室硬件条件,则需要政策与技术的协同发力,将结构化报告系统纳入医疗信息化建设中,支持基层医院软件升级。
“试点-培训-推广”三阶段联动策略有助于基于C-TIRADS词典的甲状腺结节超声结构化报告的推广使用。在试点优化阶段,优先选取信息化基础较好、具备规范化管理意识的医疗机构作为试点,结合不同层级医院的实际需求对模板进行定制化调整。在分层培训阶段,针对各级医疗机构有针对性地开展线上与线下培训,并设立工作坊,结合实际临床病例强化对结构化报告模板的使用。在全面推广与反馈迭代阶段,通过政策协同提升推广执行力,同时建立有效反馈机制,通过线上问卷持续收集使用意见,根据临床需求对模板进行版本迭代。
本研究存在的不足:(1)本研究的结构化报告只针对甲状腺结节,未包括颈部淋巴结的相关内容。(2)受进修招生要求影响,进修医师工作单位以三级医院为主,可能导致对基层医院实际需求的覆盖不足。这种偏倚使研究结论更多地反映了三级医院的需求与经验,而对基层医疗机构在硬件条件、人员培训基础及临床实际需求等方面的特殊性考虑不够充分。(3)本科室因已全面推行结构化报告模板的使用,缺乏同期自由文本报告作为对照,导致无法直接比较2种报告形式的诊断准确性及报告完成时间。(4)本研究采用调查问卷的研究方法,可能存在因社会期望效应而导致的答案偏差。此外,在结构化报告使用评价部分,虽然有被调查者选择了“其他”选项,但均未填写其所指代的具体内容。
今后的研究需要:(1)完善结构化报告中颈部淋巴结相关内容的设置,以提升模板的适用性;(2)扩大样本覆盖范围,纳入更多一级和二级医疗机构超声医师的数据,进行大规模多中心的对比研究,并按医院等级设计分组比较,更有针对性地分析不同层级医疗机构对结构化报告的使用评价,全面探讨结构化模板的临床应用价值;(3)采用回顾性历史数据匹配法,调取使用自由文本式报告的甲状腺结节病例与结构化报告病例进行配对,通过盲法评估2组报告的征象描述准确性和诊断符合率;设计模拟病例实验,比较2种报告形式的报告撰写完成时间并分析效率差异。
综上所述,本研究通过以进修医师为调查对象的横断面问卷调查研究,系统评估了基于C-TIRADS词典的甲状腺结节超声结构化报告模板的临床应用价值。结果显示,该模板在提升报告质量、规范诊断流程、降低文字错误率等方面具有显著优势,且98.29%的进修医师支持其推广。然而,在推广过程中仍需克服科室内超声医师的意识不足、硬件条件限制及技术壁垒等阻力。
1
Durante C, Grani G, Lamartina L, et al. The diagnosis and management of thyroid nodules: a review [J]. JAMA, 2018, 319(9): 914-924.

2
Fisher SB, Perrier ND. The incidental thyroid nodule [J]. CA Cancer J Clin, 2018, 68(2): 97-105.

3
Alexander LF, Patel NJ, Caserta MP, et al. Thyroid ultrasound: diffuse and nodular disease [J]. Radiol Clin North Am, 2020, 58(6): 1041-1057.

4
周燕翔, 曹省, 陈金玲, 等. 乳腺超声结构化报告在超声科住院医师规范化培训临床教学中的应用 [J]. 中华医学教育探索杂志, 2024, 23(6): 846-850.

5
肖毅, 李珂璇. 多中心直肠癌真实世界数据库建设与数据质量控制策略 [J]. 中华消化外科杂志, 2025, 24(1): 77-81.

6
高美莹, 赫飞, 郝玉芝, 等. 超声报告模板使用现状的问卷调查分析 [J/OL]. 中华医学超声杂志(电子版), 2022, 19(11): 1256-1263.

7
张翼, 王光彬, 王卫鹏. 应用结构化报告推动医学影像学精准化 [J]. 中国研究型医院, 2020, 7(6): 4-7.

8
Sabel BO, Plum JL, Kneidinger N, et al. Structured reporting of CT examinations in acute pulmonary embolism [J]. J Cardiovasc Comput Tomogr, 2017, 11(3): 188-195.

9
Ghoshhajra BB, Lee AM, Ferencik M, et al. Interpreting the interpretations: the use of structured reporting improves referring clinicians' comprehension of coronary CT angiography reports [J]. J Am Coll Radiol, 2013, 10(6): 432-438.

10
Brown PJ, Rossington H, Taylor J, et al. Standardised reports with a template format are superior to free text reports: the case for rectal cancer reporting in clinical practice [J]. Eur Radiol, 2019, 29(9): 5121-5128.

11
Granata V, Caruso D, Grassi R, et al. Structured reporting of rectal cancer staging and restaging: a consensus proposal [J]. Cancers (Basel), 2021, 13(9): 2135.

12
Ernst BP, Strieth S, Katzer F, et al. The use of structured reporting of head and neck ultrasound ensures time-efficiency and report quality during residency [J]. Eur Arch Otorhinolaryngol, 2020, 277(1): 269-276.

13
曹敏, 郭小超, 张来运, 等. 医学影像结构式报告的现状和展望 [J]. 放射学实践, 2016, 31(12): 1130-1132.

14
冯琦, 殷焱, 许建荣, 等. 利用结构化报告提高放射专科医师规范化培训质量的研究 [J]. 中华医学教育杂志, 2018, 38(4): 608-611.

15
Tran L, Wadhwa A, Mann E. Implementation of structured radiology reports [J]. J Am Coll Radiol, 2016, 13(3): 296-299.

16
王世民, 熊冰, 张治国, 等. 面向互认共享的医学影像结果报告结构化模板的构建 [J]. 中华医学图书情报杂志, 2019, 28(4): 16-24.

17
田文, 郗洪庆, 万政. 甲状腺癌多学科综合诊疗的现状与展望 [J]. 中华内分泌外科杂志, 2021, 15(1): 1-4.

18
张洁明, 苌群刚, 杜新. 病例导入与多学科诊疗模式相结合在甲状腺肿瘤临床教学中的效果分析 [J]. 生物医学工程学进展, 2025, 46(1): 123-128.

文章导航

/


AI


AI小编
你好!我是《中华医学电子期刊资源库》AI小编,有什么可以帮您的吗?