Home    中文  
 
  • Search
  • lucene Search
  • Citation
  • Fig/Tab
  • Adv Search
Just Accepted  |  Current Issue  |  Archive  |  Featured Articles  |  Most Read  |  Most Download  |  Most Cited

Chinese Journal of Medical Ultrasound (Electronic Edition) ›› 2025, Vol. 22 ›› Issue (08): 761-767. doi: 10.3877/cma.j.issn.1672-6448.2025.08.011

• Abdominal Ultrasound • Previous Articles     Next Articles

Contrast-enhanced ultrasound features of dual-phenotype versus classical hepatocellular carcinoma and risk factors for dual-phenotype hepatocellular carcinoma

Xiuling Yang1,2, Wenhui Wang2, Jie Yang2, Qiang Lu2,()   

  1. 1 Department of Ultrasound, Shanxi Children's Hospital, Taiyuan 030000, China
    2 Department of Ultrasound, West China Hospital, Chengdu 610041, China
  • Received:2025-03-29 Online:2025-08-01 Published:2025-09-29
  • Contact: Qiang Lu

Abstract:

Objective

To explore the differences in clinicopathological characteristics and contrast-enhanced ultrasound (CEUS) manifestations between dual-phenotype hepatocellular carcinoma (DPHCC) and typical hepatocellular carcinoma (THCC), and to identify independent risk factors for DPHCC.

Methods

This retrospective study enrolled 71 patients with pathologically confirmed hepatocellular carcinoma after surgical resection (31 cases of DPHCC and 40 cases of THCC) from January 2019 to June 2024. Clinicopathological parameters and CEUS features were compared between the two groups. Multivariate logistic regression was used to identify independent risk factors for DPHCC.

Results

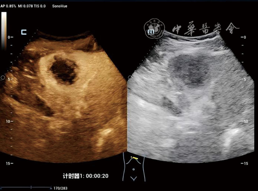
The DPHCC group showed significantly higher rates of serum alpha-fetoprotein (AFP) ≥400 ng/ml (48.4% vs 15.0%, P=0.002) and microvascular invasion (77.4% vs 17.5%, P<0.001) compared to THCC. On CEUS, DPHCC predominantly exhibited heterogeneous enhancement (38.7% vs 15.0%) and rim-like enhancement (16.1% vs 2.5%) in the arterial phase (P=0.003), with earlier contrast agent washout initiation (91.94±37.58 s vs 131.65±59.71 s, P=0.002). Multivariate analysis identified tumor size (odds ratio [OR]=1.019, P=0.002), AFP≥400 ng/ml (OR=2.798, P=0.032), ill-defined margin (OR=3.204, P=0.020), and washout time <120 s (OR=2.221, P=0.049) as independent risk factors for DPHCC.

Conclusion

Multi-parametric CEUS provides critical evidence for noninvasive diagnosis of DPHCC, effectively differentiating it from THCC and optimizing personalized clinical management.

Key words: Contrast-enhanced ultrasound, Dual-phenotype hepatocellular carcinoma, Classical hepatocellular carcinoma

Copyright © Chinese Journal of Medical Ultrasound (Electronic Edition), All Rights Reserved.
Tel: 010-51322630、2632、2628 Fax: 010-51322630 E-mail: csbjb@cma.org.cn
Powered by Beijing Magtech Co. Ltd