切换至 "中华医学电子期刊资源库"

中华医学超声杂志(电子版) ›› 2025, Vol. 22 ›› Issue (10) : 976 -981. doi: 10.3877/cma.j.issn.1672-6448.2025.10.011

肌骨超声影像学

高频超声应用于肱二头肌远端肌腱损伤的诊断价值
张婉佳, 梁彤(), 涂滨, 王丹郁   
  1. 528000 佛山,广州中医药大学第八临床医学院 佛山市中医院
  • 收稿日期:2025-05-30 出版日期:2025-10-01
  • 通信作者: 梁彤
  • 基金资助:
    佛山市卫生健康局医学科研课题(20240023)

Diagnostic value of high-frequency ultrasound in distal biceps tendon injuries

Wanjia Zhang, Tong Liang(), Bin Tu, Danyu Wang   

  1. The Eighth Clinical Medical College of Guangzhou University of Chinese Medicine, Foshan Hospital of Traditional Chinese Medicine, Foshan 528000, China
  • Received:2025-05-30 Published:2025-10-01
  • Corresponding author: Tong Liang
引用本文:

张婉佳, 梁彤, 涂滨, 王丹郁. 高频超声应用于肱二头肌远端肌腱损伤的诊断价值[J/OL]. 中华医学超声杂志(电子版), 2025, 22(10): 976-981.

Wanjia Zhang, Tong Liang, Bin Tu, Danyu Wang. Diagnostic value of high-frequency ultrasound in distal biceps tendon injuries[J/OL]. Chinese Journal of Medical Ultrasound (Electronic Edition), 2025, 22(10): 976-981.

目的

探讨高频超声应用于肱二头肌远端肌腱损伤的诊断价值。

方法

回顾性分析2020年2月至2025年1月在佛山市中医院就诊的35例肱二头肌远端肌腱损伤患者的超声影像资料。采用Kappa一致性系数检验评估超声检查结果与手术及MRI结果的一致性;以手术结果为金标准,未手术者以MRI为标准,采用诊断试验方法评估高频超声对三类损伤类型的诊断效能。

结果

35例患者中,16例接受手术治疗,19例未行手术;其中肱二头肌远端肌腱Ⅰ级损伤9例、Ⅱ级损伤(部分撕裂)15例、Ⅲ级损伤(完全断裂)11例。高频超声将1例Ⅱ级损伤(小部分撕裂)误诊为Ⅰ级损伤,将1例Ⅱ级损伤(大部分撕裂并肘前血肿)误诊为Ⅲ级损伤。结果显示高频超声诊断结果与手术及MRI诊断结果一致性良好(Kappa=0.91),总体诊断符合率达94.29%(33/35)。高频超声对Ⅲ级损伤和Ⅰ级损伤的诊断敏感度与阴性预测值均达100%。

结论

高频超声可清晰显示肱二头肌远端肌腱的解剖细节及损伤特征,准确评价其损伤程度,尤其在动态评估及急性损伤场景中具有独特优势,可作为一线影像学检查手段,为临床诊断和治疗提供可靠依据。

Objective

To assess the diagnostic value of high-frequency ultrasound in distal biceps tendon injuries.

Methods

A retrospective analysis was conducted on the ultrasound imaging data of 35 patients with distal biceps tendon injuries who were treated at Foshan Traditional Chinese Medicine Hospital from February 2020 to January 2025. The Kappa consistency test was used to evaluate the consistency between the ultrasound examination results and the results of surgery and magnetic resonance imaging (MRI). Taking surgical results as the gold standard (and MRI results as the standard for non-surgical patients), the diagnostic efficacy of high-frequency ultrasound for three types of distal biceps tendon injuries was assessed.

Results

Among the 35 patients, 16 underwent surgical treatment and 19 did not. Specifically, there were 9 cases of grade Ⅰ distal biceps tendon injury, 15 cases of grade Ⅱ injury (partial tear), and 11 cases of grade Ⅲ injury (complete rupture). High-frequency ultrasound misdiagnosed 1 case of grade Ⅱ injury (small partial tear) as grade Ⅰ injury, and 1 case of grade Ⅱ injury (large partial tear with anterior elbow hematoma) as grade Ⅲ injury. The diagnostic results of high-frequency ultrasound were in good consistency with those of surgery and MRI (Kappa = 0.91), with an overall diagnostic coincidence rate of 94.29% (33/35). For grade Ⅲ and grade Ⅰ injuries, the diagnostic sensitivity and negative predictive value of high-frequency ultrasound both reached 100%.

Conclusion

High-frequency ultrasound can clearly display the anatomical details and injury characteristics of the distal biceps tendon, and accurately evaluate the degree of injury, demonstrating unique advantages especially in dynamic assessment and acute injury scenarios. Therefore, it can be used as a first-line imaging examination method to provide a reliable basis for clinical diagnosis and treatment of distal biceps tendon injuries.

图1 正常肱二头肌远端肌腱纵轴切面超声声像图(箭头示肱二头肌远端肌腱)
图2 患者女性,56岁,右侧肱二头肌远端肌腱Ⅰ级损伤超声及MRI图像。图a为超声图像显示肌腱肿胀,回声减低,整体连续性好(箭头所示);图b为MRI斜矢状面T2-FS序列显示肌腱肿胀,信号增高(箭头所示)
图3 患者男性,42岁,左侧肱二头肌远端肌腱Ⅱ级损伤(腱体内部分撕裂)超声及MRI图像。图a为超声图像显示肌腱肿胀,回声减低,腱体内部分纤维连续性中断,撕裂处可探及无回声液区(箭头所示);图b为MRI矢状面T2-FS序列显示肌腱肿胀,信号增高,腱体内连续性部分中断(箭头所示)
图4 患者男性,56岁,右侧肱二头肌远端肌腱Ⅱ级损伤(大部分撕裂)超声声像图。图a为横轴切面图像,图b为纵轴切面图像,图像显示肌腱肿胀,肌腱浅层大部分纤维连续性中断并损伤段局部出血(箭头所示)
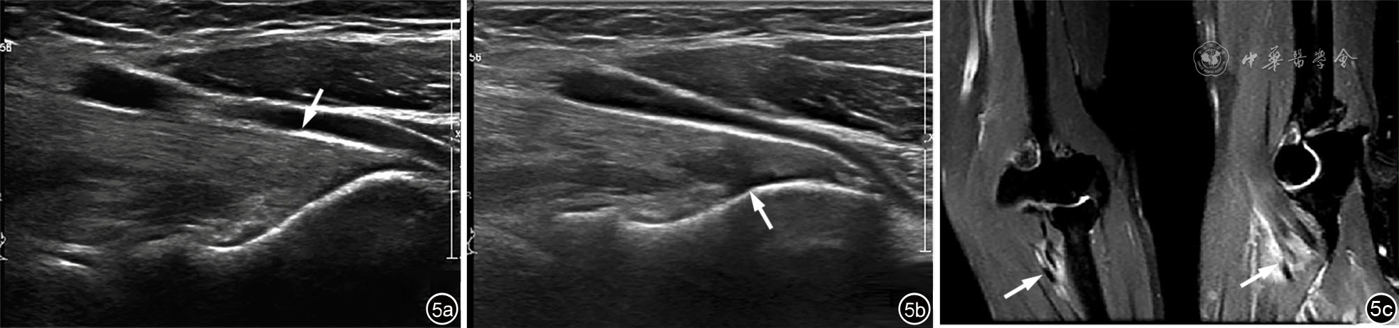
图5 患者女性,56岁,右侧肱二头肌远端肌腱Ⅱ级损伤(肌腱关节侧大部分撕裂但腱膜完好)超声及MRI图像。图a为常规超声探查显示肱二头肌远端肌腱稍肿胀,连续性及张力尚可(箭头所示);图b为抗阻力屈肘动态检查超声图像可显示关节侧损伤肌腱断端从桡骨粗隆附着端分离并可见局部积液(箭头所示);图c为MRI冠状及矢状面T2-FS序列显示肌腱肿胀,信号增高,肌腱附着端连续性大部分中断(箭头所示)
图6 患者男性,60岁,左侧肱二头肌远端肌腱Ⅲ级损伤超声声像图。图a为上臂段纵轴切面图像,图b为桡骨粗隆处纵轴切面图像;图像显示肌腱于桡骨粗隆附着端完全断裂,上臂中段可探及回缩断端,桡骨粗隆处未探及肌腱,可显示血肿形成(箭头所示)
表1 35例肱二头肌远端肌腱损伤患者高频超声与MRI或手术结果对照(例)
表2 高频超声对肱二头肌远端肌腱三类损伤类型的诊断效能[%(例/例)]
1
Stefano B, Carlo M. Ultrasound of the musculoskeletal system[M]. Berlin Heidelberg: Springer-Verlag, 2007: 371.
2
Dove JH, Pasquarello GJ, DaSilva MF. Ultrasound assessment of distal biceps tendon injuries[J]. Current Orthopaedic Practice, 2022, 34(1): 79-81.
3
de la Fuente J, Blasi M, Martínez S, et al. Ultrasound classification of traumatic distal biceps brachii tendon injuries[J].Skeletal Radiol, 2018, 47(4): 519-532.
4
Nicolay RW, Selley RS, Johnson DJ, et al. Partial rupture of the distal biceps brachii tendon: a magnetic resonance imaging analysis[J].J Shoulder Elbow Surg, 2020, 29(9): 1859-1868.
5
杨剑, 郁凯.肱二头肌远端肌腱损伤的诊疗现状[J/OL].中华肩肘外科电子杂志, 2020, 8(2): 97-100.
6
朱璐, 崔立刚.应用高频超声评估胸锁乳突肌的精细解剖结构与变异[J/OL].中华医学超声杂志(电子版), 2022, 19(11): 1244-1249.
7
Tamborrini G, Müller-Gerbl M, Vogel N, et al. Ultrasound of the elbow with emphasis on the sonoanatomy of the distal biceps tendon and its importance for the surgical treatment of tendon lesions[J]. J Ultrason, 2020, 20(81): e129-e134.
8
Chen DY, Lan HC, Lai KL, et al.Diagnostic utility of US fordetecting rotator cuff tears in rheumatoid arthritis patients:Comparison with magnetic resonance imaging[J]. Med Ultrasound, 2014, 22(4): 200-206.
9
Medvedchikov AE, Anastasieva EA, Korytkin AA, et al. Biceps brachii distal tendon ruptures: conservative and surgical treatment outcomes[J]. Traumatology and Orthopedics of Russia, 2022, 28(4): 114-125.
10
李春香, 张冬梅, 钱晓芹.高频超声在手指肌腱断裂修复术后的应用价值[J/OL].中华医学超声杂志(电子版), 2021, 18(1): 88-91.
11
中国中医药信息学会超声医学分会, 北京中西医结合学会超声医学专业委员会.肘部肌肉骨骼疼痛疾病的临床超声诊疗[J/OL].中华医学超声杂志(电子版), 2023, 20(2): 166-177.
[1] 张硕, 袁建军, 崔明哲, 丁晓, 吴铭, 郭艳艳, 彭会娟, 秦亚飞, 陈晨, 朱好辉. 基于高频超声与剪切波弹性成像评估继发性淋巴水肿患者术后疗效的初步研究[J/OL]. 中华医学超声杂志(电子版), 2025, 22(06): 547-555.
[2] 王佳佳, 单永, 姜凡, 方明娣, 彭梅. 高频肌骨超声在手指肌腱损伤中的临床应用价值[J/OL]. 中华医学超声杂志(电子版), 2025, 22(06): 535-540.
[3] 陈广兰, 胡守容, 郭蓉, 张丹丹, 贺玉梅, 张蕾, 陈小清, 华琪, 张元吉, 林燕秋, 王慧芳. 经直肠双平面高频超声评估MRKH综合征腹膜代阴道成形术后人工阴道的应用价值[J/OL]. 中华医学超声杂志(电子版), 2023, 20(11): 1132-1138.
[4] 李敏, 邱逦. 健康人群指甲与邻近组织超声测值的初步研究[J/OL]. 中华医学超声杂志(电子版), 2023, 20(04): 449-454.
[5] 詹钦文, 靳科, 袁家钦. 不同浓度自体富血小板血浆对慢性跟腱损伤的疗效[J/OL]. 中华关节外科杂志(电子版), 2023, 17(04): 500-507.
[6] 强坤坤, 罗红. 杜氏肌营养不良症患儿的高频超声与剪切波弹性成像诊断研究现状及前景[J/OL]. 中华妇幼临床医学杂志(电子版), 2023, 19(02): 162-167.
[7] 赵静. 高频超声对腹股沟斜疝的诊断价值研究[J/OL]. 中华疝和腹壁外科杂志(电子版), 2024, 18(05): 575-578.
[8] 刘国安, 陈一杰, 赖江琼, 余丽平, 康春梅. 高频超声联合多普勒超声诊断腹外疝的临床价值[J/OL]. 中华疝和腹壁外科杂志(电子版), 2024, 18(01): 106-110.
[9] 凌振华, 张斌. 彩色多普勒血流显像及高频超声在腹股沟斜疝、直疝及股疝鉴别诊断中的应用价值[J/OL]. 中华疝和腹壁外科杂志(电子版), 2023, 17(03): 326-329.
[10] 严肃, 束昊, 吉同岳, 孙鲁宁. 肱二头肌长头腱切断与保留对中老年患者的中、小型退变性肩袖撕裂修补术后疗效影响[J/OL]. 中华肩肘外科电子杂志, 2024, 12(04): 309-318.
[11] 黄丹蕾, 叶志扬, 王俊, 翁蔚宗, 王光泽, 刘好源, 黄建明. 关节镜下肱二头肌长头腱转位肩胛下肌增强技术治疗复发性肩关节脱位的初步临床疗效[J/OL]. 中华肩肘外科电子杂志, 2024, 12(01): 34-39.
[12] 王学辉, 蔚磊. 肱二头肌长头腱损伤的诊断及研究进展[J/OL]. 中华肩肘外科电子杂志, 2023, 11(01): 83-88.
[13] 谢志涛, 高小康, 王丽敏, 张净宇, 李文静, 高冰, 胡永成. 同种异体肌腱在运动系统常见损伤中的应用[J/OL]. 中华老年骨科与康复电子杂志, 2024, 10(04): 237-242.
[14] 张泽, 王琦, 杨文强, 张黎. 肌骨超声在周围神经病诊疗中的应用[J/OL]. 中华脑科疾病与康复杂志(电子版), 2023, 13(05): 257-263.
[15] 卫星彤, 李昊昌, 赵欣. 甲状腺木乃伊结节于多模态超声下的研究进展[J/OL]. 中华临床医师杂志(电子版), 2024, 18(04): 415-419.
阅读次数
全文


摘要


AI


AI小编
你好!我是《中华医学电子期刊资源库》AI小编,有什么可以帮您的吗?