切换至 "中华医学电子期刊资源库"

中华医学超声杂志(电子版) ›› 2025, Vol. 22 ›› Issue (11) : 1071 -1079. doi: 10.3877/cma.j.issn.1672-6448.2025.11.011

外周血管超声影像学

基于超声造影的颈动脉斑块易损性评估及卒中风险预测模型构建
曹俊杰1, 姚志超1, 曾宇琪1, 郑进1, 鄂一民1, 谭梓仪1, 周大勇1, 张丽丽2,()   
  1. 1 215000 苏州,南京医科大学姑苏学院 苏州市立医院 南京医科大学附属苏州医院血管外科
    2 215000 苏州,南京医科大学姑苏学院 苏州市立医院 南京医科大学附属苏州医院超声科
  • 收稿日期:2025-04-21 出版日期:2025-11-01
  • 通信作者: 张丽丽
  • 基金资助:
    苏州市科技计划项目(SKY2022187)

Assessment of carotid plaque vulnerability based on contrast enhanced ultrasound and construction of a stroke risk prediction model

Junjie Cao1, Zhichao Yao1, Yuqi Zeng1, Jin Zheng1, Yimin E1, Ziyi Tan1, Dayong Zhou1, Lili Zhang,2()   

  1. 1 Department of Vascular Surgery, Suzhou Municipal Hospital, Suzhou Hospital Affiliated to Nanjing Medical University, Gusu College of Nanjing Medical University, Suzhou 215000, China
    2 Department of Ultrasound, Suzhou Municipal Hospital, Suzhou Hospital Affiliated to Nanjing Medical University, Gusu College of Nanjing Medical University, Suzhou 215000, China
  • Received:2025-04-21 Published:2025-11-01
  • Corresponding author: Lili Zhang
引用本文:

曹俊杰, 姚志超, 曾宇琪, 郑进, 鄂一民, 谭梓仪, 周大勇, 张丽丽. 基于超声造影的颈动脉斑块易损性评估及卒中风险预测模型构建[J/OL]. 中华医学超声杂志(电子版), 2025, 22(11): 1071-1079.

Junjie Cao, Zhichao Yao, Yuqi Zeng, Jin Zheng, Yimin E, Ziyi Tan, Dayong Zhou, Lili Zhang. Assessment of carotid plaque vulnerability based on contrast enhanced ultrasound and construction of a stroke risk prediction model[J/OL]. Chinese Journal of Medical Ultrasound (Electronic Edition), 2025, 22(11): 1071-1079.

目的

探讨超声造影(CEUS)中斑块内造影剂扩散方向与新生血管(IPN)分级在评估颈动脉斑块易损性及预测症状性卒中风险中的价值,并构建多参数预测模型以提升高危人群的识别效能。

方法

前瞻性纳入2023年1月至2024年12月在苏州市立医院行颈动脉内膜剥脱术(CEA)的患者84例,依据是否发生症状性卒中事件将其分为症状性卒中组48例,无症状性卒中组36例。术前行常规超声及CEUS检查,记录斑块形态、造影剂扩散方向及IPN评分等影像学特征;术后采集斑块病理组织,分析微血管密度(MVD)及不成熟微血管比例(MVR)。采用 Spearman 等级相关分析方法分析CEUS特征与病理学特征的相关性;采用多因素Logistic回归分析症状性卒中的独立危险因素,绘制ROC曲线评估预测模型的判别能力。

结果

IPN评分与MVD(r=0.782,P<0.001)及MVR(r=0.508,P<0.001)均呈显著正相关。造影剂呈“内向外”扩散的斑块中,纤维帽破裂及斑块内出血发生率较“非内向外”扩散斑块显著升高(87.50% vs 55.56%,87.50% vs 66.67%,P<0.05)。Logistic回归分析显示,IPN半定量评分3级(OR=4.36,95%CI:1.50~12.67,P<0.01)与造影剂“内向外”扩散(OR=3.88,95%CI:1.43~10.57,P<0.01)为症状性卒中事件的独立风险因素。ROC曲线结果表明,联合预测模型的ROC曲线下面积(AUC)为0.806,优于IPN半定量评分3级(AUC=0.751)及造影剂“内向外”扩散(AUC=0.673)的单一预测指标。

结论

CEUS中造影剂扩散方向与IPN评分可较为有效地反映颈动脉斑块的易损性特征,并具备一定的预测症状性卒中风险的能力。基于二者构建的多参数模型在术前风险评估及卒中高危人群筛查中表现出较好的判别能力,具有一定的临床应用潜力。

Objective

To evaluate the clinical value of intraplaque contrast agent diffusion direction and intraplaque neovascularization (IPN) grading on contrast-enhanced ultrasound (CEUS) in assessing carotid plaque vulnerability and predicting the risk of symptomatic stroke, and to construct a multiparametric predictive model to improve the identification of high-risk individuals.

Methods

A total of 84 patients who underwent carotid endarterectomy (CEA) at Suzhou Municipal Hospital between January 2023 and December 2024 were prospectively enrolled. According to the occurrence of symptomatic stroke events or not, the patients were divided into a symptomatic stroke group (n=48) and an asymptomatic group (n=36). Preoperative conventional ultrasound and CEUS were performed to assess plaque morphology, contrast agent diffusion direction, and IPN grade. Postoperative pathological specimens were collected to evaluate microvessel density (MVD) and the proportion of immature microvessels (MVR). Spearman rank correlation analysis was used to evaluate the correlation between CEUS features and pathological characteristics. Multivariate logistic regression was used to identify independent risk factors for symptomatic stroke, and receiver operating characteristic (ROC) curves were plotted to assess the discriminative performance of different predictive models.

Results

IPN grade was significantly positively correlated with both MVD (r=0.782, P<0.001) and MVR (r=0.508, P<0.001). Plaques showing an "inside-out" contrast agent diffusion pattern exhibited significantly higher incidences of fibrous cap rupture and intraplaque hemorrhage compared with non-inside-out diffusion plaques (87.50% vs 55.56% and 87.50% vs 66.67%, respectively; P<0.05). Logistic regression revealed that IPN grade 3 (odds ratio [OR]= 4.36, 95% confidence interval [CI]: 1.50-12.67, P<0.01) and "inside-out" diffusion pattern (OR=3.88, 95%CI: 1.43-10.57, P<0.01) were independent risk factors for symptomatic stroke events. The area under the ROC curve (AUC) of the combined predictive model was 0.806, which was higher than that of either IPN grade 3 (AUC=0.751) or "inside-out" diffusion pattern alone (AUC=0.673).

Conclusion

CEUS-based assessment of contrast agent diffusion direction and IPN grading can effectively reflect carotid plaque vulnerability and demonstrates an appreciated ability to predict the risk of symptomatic stroke. The multiparametric model based on these two indicators shows good discriminative performance in preoperative risk assessment and screening of high-risk stroke populations, indicating potential clinical applicability.

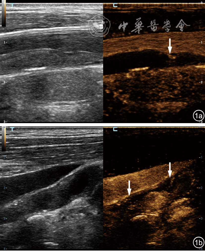
图1 颈动脉斑块内造影剂不同扩散方向的超声造影(CEUS)表现。图a为斑块纤维帽破裂的典型超声表现(左图为常规超声,右图为CEUS),可见造影剂从血管腔内进入斑块,呈“内向外”扩散(白色箭头);图b为斑块内新生血管形成的典型超声表现(左图为常规超声,右图为CEUS),可见造影剂从血管外膜流入斑块,呈“非内向外”扩散(白色箭头)
图2 颈动脉斑块内不同新生血管(IPN)分级的超声造影(CEUS)表现。图a为IPN 0级(左图为常规超声,右图为CEUS):未见明显增强灶(白色轮廓内未显示造影剂微气泡灌注),提示无新生血管形成;图b为IPN 1级(左图为常规超声,右图为CEUS):见斑块上肩部见造影剂微气泡灌注,呈点状增强(白色箭头所示),提示少量新生血管形成,分布局限;图c为IPN 2级(左图为常规超声,右图为CEUS):斑块内见数个造影剂微泡灌注(白色箭头所示),增强范围有限,未累及整个斑块;图d为IPN 3级(左图为常规超声,右图为CEUS):斑块内可见多个造影剂微泡,呈线状和片状增强(白色箭头所示),造影剂广泛分布于斑块实质,提示丰富的新生血管形成
表1 症状性卒中组与无症状性卒中组基线资料比较
基线资料 症状性卒中组(n=48) 无症状性卒中组
n=36)
统计值 P
年龄(岁,
±s
70.35±5.78 67.83±7.14 t=1.788 0.077
男性[例(%)] 35(72.92) 24(66.67) χ2=0.384 0.535
体质量指数(kg/m2
±s
23.41±2.63 23.98±3.20 t=-0.898 0.372
收缩压(mmHg,
±s
122.73±14.64 122.25±15.77 t=0.144 0.886
舒张压(mmHg,
±s
79.67±15.14 77.58±14.01 t=0.644 0.521
脉压差(mmHg,
±s
42.96±20.93 44.67±19.72 t=-0.379 0.705
空腹血糖(mmol/L,
±s
6.20±1.24 6.26±0.76 t=-0.235 0.773
高密度脂蛋白(mmol/L,
±s
1.04±0.17 1.05±0.25 t=-0.223 0.815
低密度脂蛋白(mmol/L,
±s
2.22±0.78 2.28±0.83 t=-0.314 0.754
总胆固醇(mmol/L,
±s
3.41±0.83 3.24±0.71 t=0.976 0.332
甘油三酯(mmol/L,
±s
1.40±0.73 1.21±0.36 t=1.410 0.128
白细胞(×109/L,
±s
6.19±1.91 6.43±2.10 t=-0.540 0.591
红细胞(×109/L,
±s
3.78±0.74 3.52±0.69 t=1.612 0.111
血小板(×109/L,
±s
161.10±41.47 167.89±43.30 t=-0.728 0.469
血红蛋白(g/L,
±s
120.65±20.23 117.75±23.41 t=0.607 0.546
谷丙转氨酶(U/L,
±s
23.88±11.70 21.36±8.15 t=1.103 0.273
谷草转氨酶(U/L,
±s
18.67±7.26 20.44±6.79 t=-1.142 0.257
血肌酐(mmol/L,
±s
79.55±22.57 82.20±28.41 t=-0.476 0.635
血尿素氮(mmol/L,
±s
6.92±2.17 7.19±2.14 t=-0.547 0.586
吸烟史[例(%)] 29(60.42) 18(50.00) χ2=0.906 0.341
饮酒史[例(%)] 28(58.33) 19(52.78) χ2=0.258 0.612
冠心病史[例(%)] 14(29.17) 15(41.67) χ2=1.422 0.233
他汀类药物治疗[例(%)] 15(31.25) 8(22.22) χ2=0.843 0.358
抗栓药物治疗[例(%)] 7(14.58) 6(16.67) χ2=0.068 0.794
表2 症状性卒中组与无症状性卒中组超声检查结果比较[例(%)]
图3 颈动脉内膜剥脱术后颈动脉斑块的病理组织学染色结果。图a示斑块内出血(红色箭头,HE ×40)、脂质核心(白色箭头)及钙化灶(黑色箭头);图b示斑块内出血(红色箭头,Masson ×40)、脂质核心(白色箭头)及薄弱纤维帽(黄色箭头);图c示大量新生血管生成(绿色箭头,CD34免疫组化染色 ×40)
表3 超声造影与组织病理学结果分析[例(%)]
表4 症状性卒中事件的多因素Logistic回归分析*
图4 IPN半定量评分3级、超声造影剂“内向外”扩散及联合模型预测症状性卒中事件的ROC曲线 注:IPN为新生血管
1
Saba L, Cau R, Vergallo R, et al. Carotid artery atherosclerosis: mechanisms of instability and clinical implications[J]. Eur Heart J, 2025, 46(10): 904-921.
2
赵豪, 邓欢, 黎彪, 等. 颈动脉粥样硬化性狭窄治疗研究进展[J]. 成都医学院学报, 2024, 19(1): 187-192.
3
Saba L, Anzidei M, Marincola BC, et al. Imaging of the carotid artery vulnerable plaque[J]. Cardiovasc Intervent Radiol, 2014, 37(3): 572-585.
4
Brinjikji W, Huston J 3rd, Rabinstein AA, et al. Contemporary carotid imaging: from degree of stenosis to plaque vulnerability[J]. J Neurosurg, 2016, 124(1): 27-42.
5
杜宜纲, 王胜利, 陆兆龄, 等. 评估颈动脉狭窄程度的影像学技术和超声新技术的研究进展[J]. 中国医疗器械杂志, 2024, 48(6): 624-630.
6
王学椒, 崔立刚. 超声造影及超声弹性成像评估颈动脉斑块易损性应用进展[J/OL]. 中华医学超声杂志 (电子版), 2020, 17(9): 911-913.
7
Rafailidis V, Pitoulias G, Kouskouras K, et al. Contrast-enhanced ultrasonography of the carotids[J]. Ultrasonography, 2015, 34(4): 312-323.
8
中国医师协会超声医师分会. 超声评价颈动脉易损斑块中国专家共识(2023版)[J]. 中华超声影像学杂志, 2023, 32(8): 645-655.
9
Rafailidis V, Charitanti A, Tegos T, et al. Contrast-enhanced ultrasound of the carotid system: a review of the current literature[J]. J Ultrasound, 2017, 20(2): 97-109.
10
Saba L, Saam T, Jäger HR, et al. Imaging biomarkers of vulnerable carotid plaques for stroke risk prediction and their potential clinical implications[J]. Lancet Neurol, 2019, 18(6): 559-572.
11
陈忠, 杨耀国. 颈动脉狭窄诊治指南[J/CD]. 中国血管外科杂志(电子版), 2017, 9(3): 169-175.
12
郭伟, 符伟国, 陈忠. 卢瑟福血管外科学[M]. 北京: 北京大学医学出版社, 2013.
13
Barnett HJM, Taylor DW, Haynes RB, et al. Beneficial effect of carotid endarterectomy in symptomatic patients with high-grade carotid stenosis[J]. N Engl J Med, 1991, 325(7): 445-453.
14
Gray-Weale AC, Graham JC, Burnett JR, et al. Carotid artery atheroma: comparison of preoperative B-mode ultrasound appearance with carotid endarterectomy specimen pathology[J]. J Cardiovasc Surg (Torino), 1988, 29(6): 676-681.
15
吕琦. 基于组织病理学的超声造影成像评估颈动脉粥样硬化斑块易损性的临床研究[D]. 苏州: 苏州大学, 2022.
16
Saha SA, Gourineni V, Feinstein SB. The use of contrast-enhanced ultrasonography for imaging of carotid atherosclerotic plaques: current evidence, future directions[J]. Neuroimaging Clin N Am, 2016, 26(1): 81-96.
17
Stary HC, Chandler AB, Dinsmore RE, et al. A definition of advanced types of atherosclerotic lesions and a histological classification of atherosclerosis. A report from the Committee on Vascular Lesions of the Council on Arteriosclerosis, American Heart Association[J]. Circulation, 1995, 92(5): 1355-1374.
18
Saam T, Hetterich H, Hoffmann V, et al. Meta-analysis and systematic review of the predictive value of carotid plaque hemorrhage on cerebrovascular events by magnetic resonance imaging[J]. J Am Coll Cardiol, 2013, 62(12): 1081-1091.
19
Mcnally JS, Mclaughlin MS, Hinckley PJ, et al. Intraluminal thrombus, intraplaque hemorrhage, plaque thickness, and current smoking optimally predict carotid stroke[J]. Stroke, 2015, 46(1): 84-90.
20
Kopczak A, Schindler A, Bayer-Karpinska A, et al. Complicated carotid artery plaques as a cause of cryptogenic stroke[J]. J Am Coll Cardiol, 2020, 76(19): 2212-2222.
21
Jain NK, Singh G, Muralidharan CG, et al. Assessment of plaque vulnerability in carotid atherosclerotic plaques using contrast-enhanced ultrasound[J]. Med J Armed Forces India, 2022, 78(4): 422-429.
22
Rafailidis V, Li X, Sidhu PS, et al. Contrast imaging ultrasound for the detection and characterization of carotid vulnerable plaque[J]. Cardiovasc Diagn Ther, 2020, 10(4): 965-981.
23
张丽丽, 曾宇琪, 王佑玲, 等. 基于病理特征评价术前超声造影与高分率磁共振对颈动脉易损斑块的诊断价值[J]. 血管与腔内血管外科杂志, 2025, 11(1): 17-21, 25.
24
崔艺耀, 吕晓烁, 温见燕, 等. 颈动脉斑块内新生血管的临床意义[J]. 中华普通外科杂志, 2019, 34(6): 520-522.
25
范佳煜, 董亚男, 白竹, 等. 斑块内新生血管分级与颈动脉粥样硬化程度相关性的新进展[J]. 中风与神经疾病杂志, 2024, 41(1): 31-34,97.
26
Lyu Q, Tian X, Ding Y, et al. Evaluation of carotid plaque rupture and neovascularization by contrast-enhanced ultrasound imaging: an exploratory study based on histopathology[J]. Transl Stroke Res, 2021, 12(1): 49-56.
27
吕琦, 惠品晶, 丁亚芳, 等. 颈动脉超声造影评估斑块易损性与缺血性卒中的相关性研究[C]. 南京: 中国介入神经病学大会2022暨第18届脑血管病高峰论坛, 2022: 114.
28
Van Den Oord SC, Akkus Z, Renaud G, et al. Assessment of carotid atherosclerosis, intraplaque neovascularization, and plaque ulceration using quantitative contrast-enhanced ultrasound in asymptomatic patients with diabetes mellitus[J]. Eur Heart J Cardiovasc Imaging, 2014, 15(11): 1213-1218.
29
Cao J, Zeng Y, Zhou Y, et al. The value of contrast-enhanced ultrasound in assessing carotid plaque vulnerability and predicting stroke risk[J]. Sci Rep, 2025, 15(1): 5850.
30
Bentzon JF, Otsuka F, Virmani R, et al. Mechanisms of plaque formation and rupture[J]. Circ Res, 2014, 114(12): 1852-1866.
31
陈文颖, 吴婷, 朱浩, 等. 颈动脉超声及超声造影技术评估颈动脉易损斑块的诊断价值[J]. 南通大学学报(医学版), 2022, 42(5): 459-463.
32
邬午龙, 宋则周, 张艳明, 等. 超声造影评估颈动脉斑块新生血管分级预测脑梗死再发的Logistic回归模型分析[J/CD]. 中华医学超声杂志(电子版), 2018, 15(1): 43-47.
33
张艳明, 宋则周, 傅燕飞, 等. 超声造影评估颈动脉斑块新生血管预测脑梗死再发[J]. 中国超声医学杂志, 2016, 32(2): 97-100.
[1] 王晶, 毛丽娟, 王丽璠, 张雅琴, 赵崇克, 朱宇莉, 李翠仙, 徐辉雄, 韩红. 超分辨超声识别肿瘤血流特征对胆囊息肉样病变的鉴别诊断价值[J/OL]. 中华医学超声杂志(电子版), 2025, 22(11): 1036-1045.
[2] 陈子为, 邹南鑫, 宋禄达, 姜波, 张奥, 张夕, 李秋洋. 基于超声的Bosniak分级对肾脏囊性病变的诊断价值及一致性分析[J/OL]. 中华医学超声杂志(电子版), 2025, 22(11): 1062-1070.
[3] 杨秀玲, 王文辉, 杨婕, 卢强. 双表型肝细胞癌与经典型肝细胞癌超声造影特征及危险因素分析[J/OL]. 中华医学超声杂志(电子版), 2025, 22(08): 761-767.
[4] 武晓凤, 谷杨, 黄莹, 张丽红, 孙梦瑶, 胡梦裳, 王洁, 房钰婷, 金晨阳, 王葛超, 董凤林. 甲状腺转移癌多模态超声及临床特征[J/OL]. 中华医学超声杂志(电子版), 2025, 22(07): 614-619.
[5] 李鹏, 张维桢, 武国帅, 马伊凡, 张灵强. 超声造影在胰腺疾病中的应用研究进展[J/OL]. 中华肝脏外科手术学电子杂志, 2026, 15(01): 119-123.
[6] 皇立媛, 浦洁, 王苏贵, 陈婷婷, 朱德慧, 胡雪. 中青年脑卒中患者应激障碍风险预测模型的构建与验证[J/OL]. 中华临床医师杂志(电子版), 2025, 19(07): 504-512.
[7] 侯志博, 张苗, 卢洁. 多延迟动脉自旋标记成像在急性缺血性脑卒中灌注评估中的研究进展与临床应用[J/OL]. 中华临床医师杂志(电子版), 2025, 19(06): 454-460.
[8] 陈芸, 杨海燕, 陈薇, 董贯忠, 张伟媛, 许钰. 社会支持和心理弹性在急性期脑卒中患者感知压力与睡眠质量间的链式中介作用[J/OL]. 中华卫生应急电子杂志, 2025, 11(06): 329-335.
[9] 徐元麒, 杨珊珊, 张忠玲. 急性缺血性卒中再灌注联合脑细胞保护治疗的策略[J/OL]. 中华脑血管病杂志(电子版), 2025, 19(06): 463-466.
[10] 单小洁, 胡欢欢, 张磊, 杨佳康, 刘建民, 甘丽芬, 徐立, 李红月, 李冬梅. 链式流程管理在急性脑卒中绿色通道CT检查中改善碘对比剂外渗的效果[J/OL]. 中华脑血管病杂志(电子版), 2025, 19(06): 477-482.
[11] 孙程贺, 田润杞, 王储, 李跃龙. 小窝蛋白-1对前循环大血管闭塞患者桥接治疗后颅内出血转化的预测价值[J/OL]. 中华脑血管病杂志(电子版), 2025, 19(06): 483-489.
[12] 柴昌, 李定安, 姜进, 薛延华, 王衡. 前循环大血管闭塞性轻型卒中患者早期进展的危险因素及其补救性血管内治疗的临床疗效[J/OL]. 中华脑血管病杂志(电子版), 2025, 19(06): 503-510.
[13] 王琳, 霍鸿波, 李可静, 边毓尧, 徐正虎, 王恒, 刘翠翠. 老年急性大血管闭塞性卒中患者支架取栓中长期预后及其影响因素[J/OL]. 中华脑血管病杂志(电子版), 2025, 19(06): 511-518.
[14] 张克玲, 于丹. 急性缺血性卒中再灌注治疗的研究进展[J/OL]. 中华脑血管病杂志(电子版), 2025, 19(06): 532-537.
[15] 林烨涛, 黄浩淇, 徐穗莲, 古媚, 何奕涛. 环状RNA对缺血性卒中调控作用的研究进展[J/OL]. 中华脑血管病杂志(电子版), 2025, 19(06): 538-545.
阅读次数
全文


摘要


AI


AI小编
你好!我是《中华医学电子期刊资源库》AI小编,有什么可以帮您的吗?