切换至 "中华医学电子期刊资源库"

中华医学超声杂志(电子版) ›› 2025, Vol. 22 ›› Issue (11) : 1080 -1085. doi: 10.3877/cma.j.issn.1672-6448.2025.11.012

小儿超声影像学

儿童先天性冠状动脉瘘合并巨大冠状动脉瘤的超声心动图诊断
吴群, 李培, 马宁, 王芳韵, 郑淋, 卫海燕, 张鑫()   
  1. 100045 北京,国家儿童医学中心 首都医科大学附属北京儿童医院心脏超声科
  • 收稿日期:2025-08-23 出版日期:2025-11-01
  • 通信作者: 张鑫
  • 基金资助:
    北京市自然科学基金—海淀原始创新联合基金(L222079)

Echocardiographic diagnosis of congenital coronary artery fistula complicated with giant coronary artery aneurysm in children

Qun Wu, Pei Li, Ning Ma, Fangyun Wang, Lin Zheng, Haiyan Wei, Xin Zhang()   

  1. Department of Echocardiography, Beijing Children's Hospital, Capital Medical University, National Center for Children's Health, Beijing 100045, China
  • Received:2025-08-23 Published:2025-11-01
  • Corresponding author: Xin Zhang
引用本文:

吴群, 李培, 马宁, 王芳韵, 郑淋, 卫海燕, 张鑫. 儿童先天性冠状动脉瘘合并巨大冠状动脉瘤的超声心动图诊断[J/OL]. 中华医学超声杂志(电子版), 2025, 22(11): 1080-1085.

Qun Wu, Pei Li, Ning Ma, Fangyun Wang, Lin Zheng, Haiyan Wei, Xin Zhang. Echocardiographic diagnosis of congenital coronary artery fistula complicated with giant coronary artery aneurysm in children[J/OL]. Chinese Journal of Medical Ultrasound (Electronic Edition), 2025, 22(11): 1080-1085.

目的

总结先天性冠状动脉瘘合并巨大冠状动脉瘤患儿的超声特点及其在诊断及随访中的应用价值。

方法

回顾性选取首都医科大学附属北京儿童医院2009年4月至2025年4月经超声心动图诊断的127例累及单侧冠状动脉、瘘入单心腔的先天性冠状动脉瘘患儿为研究对象,根据是否合并巨大冠状动脉瘤将患儿分为巨大冠状动脉瘤组与非巨大冠状动脉瘤组。采用单因素分析对巨大冠状动脉瘤组与非巨大冠状动脉瘤组的基线资料进行组间比较,应用多因素Logistic回归分析形成巨大冠状动脉瘤的相关因素。并对巨大冠状动脉瘤组手术患儿进行术后超声随访,动态观察手术效果。

结果

127例患儿中巨大冠状动脉瘤组49例(49/127,38.6%),右冠状动脉瘘23例(23/49,46.9%),瘘口位于右心室28例(28/49,57.1%)、右心房17例(17/49,34.7%)、左心室3例(3/49,6.1%)、左心房1例(1/49,2.0%);14例(14/49,28.6%)患儿合并其他心脏畸形;其中16例患儿进行冠状动脉瘘封堵术或外科手术治疗(16/49,32.7%)。非巨大冠状动脉瘤组78例(78/127,61.4%);右冠状动脉瘘21例(21/78,26.9%),瘘口位于右心室51例(51/78,65.4%)、左心室12例(12/78,15.4%)、右心房10例(10/78,12.8%)、左心房5例(5/78,6.4%);29例(29/78,37.2%)患儿合并其他心脏畸形;本组患儿均未进行手术治疗。49例巨大冠状动脉瘤的漏误诊率约12.2%(6/49)。Logistic回归分析结果显示,右冠状动脉瘘(OR:0.362,95%CI:0.162~0.810)、瘘口位于心房(OR:3.166,95%CI:1.320~7.594)是形成巨大冠状动脉瘤的独立危险因素。冠状动脉瘘合并巨大冠状动脉瘤超声心动图主要表现为病变冠状动脉呈巨大瘤样扩张;对侧冠状动脉未见明显扩张。16例手术患儿矫治效果良好,随访中均未发现冠状动脉狭窄等严重并发症。

结论

右冠状动脉瘘、冠状动脉心房瘘可能是形成巨大冠状动脉瘤的独立危险因素。冠状动脉瘘合并巨大冠状动脉瘤具有典型的超声心动图表现,掌握其超声表现可减少漏误诊的发生。儿童手术干预短期获益虽不显著,但与成人相比,可能降低严重并发症的发生风险。

Objective

To summarize the echocardiographic characteristics of congenital coronary artery fistula (CAF) complicated with giant coronary artery aneurysm in children and assess its utility in diagnosis and follow-up.

Methods

A retrospective study was conducted on 127 children with congenital CAF involving a single coronary artery and draining into a single cardiac chamber, who were diagnosed by echocardiography at Beijing Children's Hospital Affiliated to Capital Medical University from April 2009 to April 2025. According to the presence of giant coronary artery aneurysm or not, they were divided into a giant coronary artery aneurysm group and a non-giant coronary artery aneurysm group. Univariate analysis was used to compare baseline data between the two groups, and multivariate Logistic regression analysis was performed to identify factors associated with the development of giant coronary artery aneurysm. Postoperative echocardiographic follow-up was performed for children in the giant coronary artery aneurysm group who underwent surgery to dynamically observe the surgical outcomes.

Results

Among the 127 children included, 49 (49/127, 38.6%) were in the giant coronary artery aneurysm group, including 23 cases (23/49, 46.9%) of right CAF. The drainage sites were the right ventricle in 28 cases (28/49, 57.1%), right atrium in 17 (17/49, 34.7%), left ventricle in 3 (3/49, 6.1%), and left atrium in 1 (1/49, 2.0%). Fourteen children (14/49, 28.6%) had other cardiac malformations. Sixteen children (16/49, 32.7%) underwent transcatheter closure or surgical treatment. The non-giant coronary artery aneurysm group consisted of 78 children (78/127, 61.4%), including 21 cases (21/78, 26.9%) of right CAF. The drainage sites were the right ventricle in 51 cases (51/78, 65.4%), left ventricle in 12 (12/78, 15.4%), right atrium in 10 (10/78, 12.8%), and left atrium in 5 (5/78, 6.4%). Twenty-nine children (29/78, 37.2%) had other cardiac malformations. None of the children in this group underwent surgical treatment. The rate of missed diagnosis or misdiagnosis in the 49 children with giant coronary artery aneurysm was approximately 12.2% (6/49). Logistic regression analysis showed that right CAF (odds ratio [OR]=0.362, 95% confidence interval [CI]: 0.162-0.810) and fistula draining into the atrium (OR=3.166, 95%CI: 1.320-7.594) were independent risk factors for the formation of giant coronary artery aneurysm. Echocardiographic findings of CAF complicated with giant coronary artery aneurysm mainly included giant aneurysmal dilation of the affected coronary artery, with no significant dilation of the contralateral coronary artery. All 16 surgically treated children showed good corrective outcomes, and no severe complications such as coronary artery stenosis were found during follow-up.

Conclusion

Right CAF and CAF draining into the atrium may be independent risk factors for the formation of giant coronary artery aneurysm. CAF complicated with giant coronary artery aneurysm has typical echocardiographic manifestations, and familiarity with these imaging features can reduce missed and misdiagnosis. Although the short-term benefits of surgical intervention in children are not very significant, compared with adults, it may reduce the risk of serious complications.

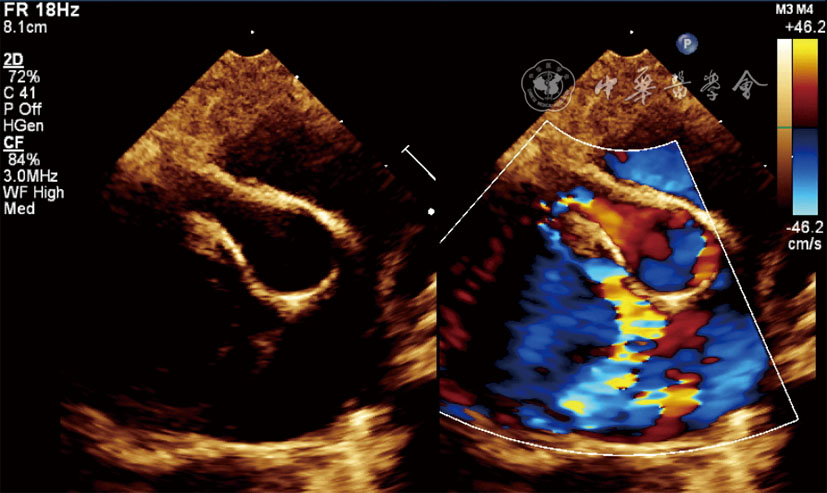
图1 胸骨旁大动脉短轴切面超声图像示右冠状动脉呈巨大瘤样扩张,瘘管走行迂曲
图2 冠状动脉右心房瘘超声图像。左图为彩色多普勒超声剑突下切面(箭头所示为瘘口);右图为连续多普勒测量瘘口血流速度约399 cm/s,压差约64 mmHg(1 mmHg=0.133 kPa)
表1 巨大冠状动脉瘤组与非巨大冠脉瘤组患儿基线资料比较 [例(%)]
表2 巨大冠状动脉瘤的多因素Logistic回归分析结果
1
Buccheri D, Chirco PR, Geraci S, et al. Coronary artery fistulae: anatomy, diagnosis and management strategies[J]. Heart Lung Circ, 2018, 27(8): 940-951.
2
Challoumas D, Pericleous A, Dimitrakaki IA, et al. Coronary arteriovenous fistulae: a review[J]. Int J Angiol, 2014, 23(1): 1-10.
3
Crawley PD, Mahlow WJ, Huntsinger DR, et al. Giant coronary artery aneurysms: review and update[J]. Tex Heart Inst J, 2014, 41(6): 603-608.
4
Jone PN, Tremoulet A, Choueiter N, et al. Update on diagnosis and management of Kawasaki disease: a scientific statement from the American Heart Association[J].Circulation, 2024, 150(23): e481-e500.
5
Lopez L, Colan S, Stylianou M, et al. Relationship of echocardiographic Z scores adjusted for body surface area to age, sex, race, and ethnicity: the pediatric heart network normal echocardiogram database[J]. Circ Cardiovasc Imaging, 2017, 10(11): e006979.
6
Amdani S, Conway JGeorge K, et al. Evaluation and management of chronic heart failure in children and adolescents with congenital heart disease: a scientific statement from the American Heart Association[J]. Circulation, 2024, 150(2): e33-e50.
7
Serra W, Solinas E, Di Spigno F, et al. Intercoronary communication and coronary artery fistula: when echocardiography could complete coronary-CTA and angiography[J]. Acta Cardiol, 2021, 76(6): 665-667.
8
Shimada S, Taketazu M, Sato M, et al. Heart failure and coronary ischemia in a neonate with right coronary artery fistula[J]. Pediatr Int, 2019, 61(4): 417-418.
9
王燕飞, 黄萍, 张丽, 等.儿童先天性冠状动脉瘘并巨大冠状动脉瘤的治疗及随访[J].中华实用儿科临床杂志, 2019, 34(1): 43-46.
10
Pu L, Li R, Yang Y, et al. Right coronary artery coronary sinus fistula with coronary sinus ostium stenosis[J]. Echocardiography, 2017, 34(7): 1102-1104.
11
Wada Y, Marui A, Arai Y, et al. Long-term outcomes following surgical repair of coronary artery fistula in adults[J]. J Card Surg, 2021, 36(12): 4618-4622.
12
Christmann M, Hoop R, Dave H, et al. Closure of coronary artery fistula in childhood: treatment techniques and long-term follow-up[J]. Clin Res Cardiol, 2017, 106(3): 211-218.
13
Zaban NB, Elshershari H, Hoyer MH. Early and late presentation of coronary artery fistula: a possible natural progression?[J]. Cardiol Young, 2019, 29(11):1407-1409.
14
Chiricolo A, Pantin E, Raffel B, et al. Ruptured giant coronary artery aneurysm with coronary artery to pulmonary artery fistula presenting as cardiac tamponade diagnosed by intraoperative transesophageal echocardiography: a case report[J]. A A Pract, 2018, 11(3): 68-70.
15
Yang Z, Zhang L, Gao J, et al. Giant coronary artery fistula complicated with coronary artery aneurysm and acute myocardial infarction: a case report[J]. BMC Cardiovasc Disord, 2020, 20(1): 136.
[1] 罗兵, 董凤群, 牛艺臻, 王锟, 程志华, 刘宏强. 胎儿超声心动图在单纯性肺动脉瓣狭窄及预后评估中的价值[J/OL]. 中华医学超声杂志(电子版), 2025, 22(08): 740-747.
[2] 刘晴晴, 俞劲, 徐玮泽, 张志伟, 潘晓华, 舒强, 叶菁菁. OBICnet图像分类模型在小儿先天性心脏病超声筛查中的应用价值[J/OL]. 中华医学超声杂志(电子版), 2025, 22(08): 754-760.
[3] 张俊清, 周秘, 张文军, 谭静, 尹立雪. 射血分数保留肝硬化患者的肝脏硬度与左心室功能超声特征及相关性分析[J/OL]. 中华医学超声杂志(电子版), 2025, 22(08): 768-776.
[4] 应康, 郭良云, 胡震. 超声心动图对成人型主动脉缩窄漏诊原因分析及质量控制改进措施[J/OL]. 中华医学超声杂志(电子版), 2025, 22(07): 633-636.
[5] 罗旭芳, 王艳子, 滕红娜, 赵德莉, 袁丽, 靳思雨, 官浩. 基于时机理论对重度烧伤患儿照护者照护体验的质性研究[J/OL]. 中华损伤与修复杂志(电子版), 2026, 21(01): 40-46.
[6] 叶子悟, 周燕, 祖木来提·艾尔肯, 刘娜, 廖贵清, 邱小玲, 周震, 努尔比亚·阿不都西库. 新疆喀什市3 ~ 5岁儿童乳牙龋纵向变化分析[J/OL]. 中华口腔医学研究杂志(电子版), 2025, 19(06): 393-399.
[7] 朱少伟. 未合并隐睾的小儿半月线疝一例并文献复习[J/OL]. 中华疝和腹壁外科杂志(电子版), 2025, 19(06): 722-724.
[8] 熊海波, 张千秋, 李叔强, 曾云龙, 邓力宾, 袁家天, 吕波, 李俊. 经脐单孔和双孔腹腔镜下治疗小儿腹股沟疝疗效的Meta分析[J/OL]. 中华疝和腹壁外科杂志(电子版), 2025, 19(06): 694-700.
[9] 魏晓琼, 刘青, 于丽娟, 谭志红, 和岚, 常艳美, 和勇. 过敏性哮喘患儿C-ACT、骨膜蛋白和TSLP及ECP与病情严重程度的相关性[J/OL]. 中华肺部疾病杂志(电子版), 2025, 18(06): 996-1001.
[10] 孙太鹏, 袁勇贵. 儿童青少年精神卫生服务的现状与展望[J/OL]. 中华临床医师杂志(电子版), 2025, 19(11): 805-808.
[11] 洪素, 况利. ICD-11 CDDR框架下的实践参考:儿童青少年心境障碍[J/OL]. 中华临床医师杂志(电子版), 2025, 19(11): 814-817.
[12] 陈妍, 陈珏. ICD-11 CDDR框架下的实践参考:儿童青少年心身疾病[J/OL]. 中华临床医师杂志(电子版), 2025, 19(11): 818-822.
[13] 杜琳, 贾飞勇. 儿童青少年抑郁障碍的多因素病因研究进展[J/OL]. 中华临床医师杂志(电子版), 2025, 19(11): 854-859.
[14] 高鉴兴, 马晶晶, 夏洁, 柯晓燕, 方慧. 儿童青少年首次抑郁发作的临床特征及非自杀性自伤的影响因素[J/OL]. 中华临床医师杂志(电子版), 2025, 19(09): 633-641.
[15] 姜彤彤, 戎萍, 马融, 付乾芳, 张亚同, 赵书艺, 刘晖, 马榕, 李悦, 李瑞本. 抽动障碍儿童呼吸道感染后的临床特征及抽动症状加重的危险因素分析[J/OL]. 中华临床医师杂志(电子版), 2025, 19(06): 426-432.
阅读次数
全文


摘要


AI


AI小编
你好!我是《中华医学电子期刊资源库》AI小编,有什么可以帮您的吗?