切换至 "中华医学电子期刊资源库"

中华医学超声杂志(电子版) ›› 2023, Vol. 20 ›› Issue (03) : 272 -277. doi: 10.3877/cma.j.issn.1672-6448.2023.03.003

妇产科超声影像学

新型锥头式宫腔输卵管造影管在“一站式”输卵管超声造影中的初步应用
王金萍(), 王佳佳, 李燕, 王琴, 张靖, 陈晓艺, 林欣   
  1. 230031 合肥,安徽中医药大学第一附属医院超声医学科
  • 收稿日期:2021-08-24 出版日期:2023-03-01
  • 通信作者: 王金萍
  • 基金资助:
    安徽省2018年度重点研究与开放计划(1804h08020248)

Preliminary application of a new cone-head uterine tube in hysterosalping constrast sonography

Jinping Wang(), Jiajia Wang, Yan Li, Qin Wang, Jing Zhang, Xiaoyi Chen, Xin Lin   

  1. Department of Ultrasound, First Affiliated Hospital, Anhui University of Chinese Medicine, Hefei 230031, China
  • Received:2021-08-24 Published:2023-03-01
  • Corresponding author: Jinping Wang
引用本文:

王金萍, 王佳佳, 李燕, 王琴, 张靖, 陈晓艺, 林欣. 新型锥头式宫腔输卵管造影管在“一站式”输卵管超声造影中的初步应用[J/OL]. 中华医学超声杂志(电子版), 2023, 20(03): 272-277.

Jinping Wang, Jiajia Wang, Yan Li, Qin Wang, Jing Zhang, Xiaoyi Chen, Xin Lin. Preliminary application of a new cone-head uterine tube in hysterosalping constrast sonography[J/OL]. Chinese Journal of Medical Ultrasound (Electronic Edition), 2023, 20(03): 272-277.

目的

验证新型锥头式宫腔输卵管造影管在临床应用中的可行性,并与传统宫腔输卵管造影管进行对比,探讨新型管的临床应用优势。

方法

对比分析2021年3月至7月在安徽中医药大学第一附属医院选择传统宫腔输卵管造影管(38例)、新型锥头式宫腔输卵管造影管(38例)行“一站式”输卵管超声造影的患者,采用独立样本t检验比较2种造影管在”一站式”输卵管超声造影中置管时间和患者疼痛评分的差异,采用χ2检验比较2种造影管置管成功率、宫腔完整显示率的差异,并比较其在诊断输卵管通畅性中的差异。

结果

与传统宫腔输卵管造影管比较,新型锥头式宫腔输卵管造影管置管时间短[(20.3±10.9)s vs(513.9±249.1)s]、置管成功率高(92.10% vs 68.40%)、患者疼痛评分低[(1.0±0.9)分 vs(5.0±1.6)分]、宫腔完整显示率高(100% vs 63.20%),差异具有统计学意义(t=12.176,P<0.001;χ2=6.728,P=0.035;t=12.957,P<0.001;χ2=11.40,P=0.001),且两者在诊断输卵管通畅性中无差别。

结论

新型锥头式宫腔输卵管造影管在“一站式”输卵管超声造影检查中的应用效果明显优于传统宫腔输卵管造影管。

Objective

To verify the feasibility of the clinical use of a new cone-head tube in hysterosalping constrast sonography (HyCoSy), and to explore its advantages by comparing with the traditional uterus radiography catheter.

Methods

A comparative analysis was performed in patients who received "one-step" HyCoSy from March 2021 to July 2021 with either traditional uterus radiography catheter (new tube group, n=38 cases) or new cone-head uterine tube (traditional tube group, n=38 cases). Independent sample t-test was used to compare the differences in tube insertion time and patients' pain scores in "one-step" tubal HyCoSy. Chi-square test was used to compare the differences in tube insertion success rate and whole uterine cavity display rate between the two groups.

Results

Compared with the traditional uterine salpingography tube, the new tube was associated with shorter tube insertion time [(20.3±10.9) s vs (513.9±249.1) s], higher tube insertion success rate (92.10% vs 68.40%), lower pain score [(1.0±0.9) points vs (5.0±1.6) points], and higher whole uterine cavity display rate (100% vs 63.20%), and the differences were statistically significant (t=12.176, P<0.001; χ2=6.728, P=0.035; t=12.957, P<0.001; χ2=11.40, P=0.001).

Conclusion

The new cone-head uterine tube has high value in HyCoSy and is worthy of further promotion in clinical use.

图1 输卵管超声造影示意图及造影图像。图a为新型造影管结构示意图;图b为双侧输卵管通畅患者新型造影管输卵管超声造影图;图c为传统造影管结构示意图;图d为与图b同一患者的传统造影管输卵管超声造影图
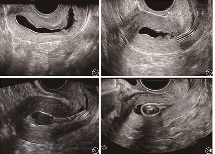
图2 新型造影管与传统造影管置管超声声像图。图a为新型造影管置管,水造影宫腔完整显示;图b为新型造影管置管,宫腔水造影发现宫颈内口息肉;图c为传统造影管置管,宫腔被球囊及造影管遮挡;图d与图b为同一患者,使用传统造影管置管,宫颈内口息肉被球囊遮挡
表1 新型组与传统组超声造影宫腔置管情况对比
图3 单侧输卵管不通患者采用新型造影管和传统造影管造影图像。图a:采用新型造影管右侧输卵管通畅,左侧输卵管近端梗阻、不通;图b:改用传统造影管后,输卵管造影仍为右侧输卵管通畅,左侧输卵管近端梗阻、不通,且宫腔部分被球囊遮挡 图4 双侧输卵管不通患者采用新型造影管和传统造影管造影图像。图a:采用新型造影管,显示为双侧输卵管不通;图b:改用传统造影管,显示为双侧输卵管不通,与新型造影管造影结果一致
1
李辉, 陈芸, 薛敏, 等. 经阴道实时三维超声输卵管造影与X线碘油输卵管造影的比较研究 [J]. 中国超声医学杂志, 2014, 30(10): 923-926.
2
廖建梅, 杨舒萍, 林彦銮, 等. 经阴道实时三维超声子宫输卵管造影与腹腔镜检查评价输卵管通畅性 [J]. 中国超声医学杂志, 2015, 31(12): 1117-1119.
3
李燕, 王金萍. 宫腔输卵管超声造影宫腔置管术失败原因分析 [J]. 安徽医药, 2020, 24(10): 2003-2005.
4
汪璐赟, 李红, 顾怡栋, 等. 经阴道动态三维超声输卵管造影在不孕症诊断中的应用 [J/CD]. 中华医学超声杂志(电子版), 2017, 14(4): 302-306.
5
不孕症"一站式"超声检查体系多中心研究专家团队. 不孕症"一站式"子宫输卵管超声造影技术专家共识 [J/OL]. 中华医学超声杂志(电子版), 2020, 17(2): 108-114.
6
万丽, 赵晴, 陈军, 等. 疼痛评估量表应用的中国专家共识(2020版) [J]. 中华疼痛学杂志, 2020, 16(3): 177-187.
7
范丽, 王莎莎, 程琦, 等. 子宫输卵管超声造影中负性造影剂对宫腔病变的诊断价值 [J]. 中国医学物理学杂志, 2015, 32(3): 347-351.
8
Kupesic S, Plavsic BM. 2D and 3D hysterosalpingo-contrast-sonography in the assessment of uterine cavity and tubal patency [J]. Eur J Obstet Gynecol Reprod Biol, 2007, 133(1): 64-69.
9
Chen F, Quan J, Huang P, et al. Hysterosalpingo-contrast sonography with four-dimensional technique for screening fallopian tubal patency: let's make an exploration [J]. J Minim Invasive Gynecol, 2017, 24(3): 407-414.
10
周秋兰, 王伟群, 李盈, 等. 实时三维子宫输卵管超声造影联合推注压力评估输卵管通畅性 [J]. 中华超声影像学杂志, 2018, 27(3): 232-236.
11
葛丹, 涂美琳, 欧斐. 四维输卵管超声造影形态对不孕症患者输卵管通畅度的诊断价值 [J/OL]. 中华医学超声杂志(电子版), 2021, 18(1): 68-73.
12
徐文翠, 李兵, 王亚光. 8F双腔球囊导管行子宫输卵管造影临床观察 [J]. 安徽医药, 2014, 18(5): 870-871.
13
邢丽丽, 赵白信, 黄蕾. 子宫输卵管超声造影对受检不孕症患者疼痛的影响因素 [J]. 中国计划生育学杂志, 2020, 28(5): 714-717.
14
王淼, 闫真. 不同推注法对不孕症女性子宫输卵管造影检查效果的影响 [J]. 临床医学研究与实践, 2020, 5(8): 128-129.
15
李燕, 王金萍, 陈晓艺. 超声宫腔水造影在宫腔病变中的应用评价 [J]. 蚌埠医学院学报, 2020, 45(4): 511-514.
[1] 王亚红, 蔡胜, 葛志通, 杨筱, 李建初. 颅骨骨膜窦的超声表现一例[J/OL]. 中华医学超声杂志(电子版), 2024, 21(11): 1089-1091.
[2] 李晓妮, 卫青, 孟庆龙, 牛丽莉, 田月, 吴伟春, 朱振辉, 王浩. 超声心动图在孤立性左心室心尖发育不良疾病中的应用价值[J/OL]. 中华医学超声杂志(电子版), 2024, 21(10): 937-942.
[3] 陈慧, 姚静, 张宁, 刘磊, 马秀玲, 王小贤, 方爱娟, 管静静. 超声心动图在多发性骨髓瘤心脏淀粉样变中的诊断价值[J/OL]. 中华医学超声杂志(电子版), 2024, 21(10): 943-949.
[4] 戴飞, 赵博文, 潘美, 彭晓慧, 陈冉, 田园诗, 狄敏. 胎儿心脏超声定量多参数对主动脉缩窄胎儿心脏结构及功能的诊断价值[J/OL]. 中华医学超声杂志(电子版), 2024, 21(10): 950-958.
[5] 章建全, 程杰, 陈红琼, 闫磊. 采用ACR-TIRADS评估甲状腺消融区的调查研究[J/OL]. 中华医学超声杂志(电子版), 2024, 21(10): 966-971.
[6] 罗辉, 方晔. 品管圈在提高甲状腺结节细针穿刺检出率中的应用[J/OL]. 中华医学超声杂志(电子版), 2024, 21(10): 972-977.
[7] 杨忠, 时敬业, 邓学东, 姜纬, 殷林亮, 潘琦, 梁泓, 马建芳, 王珍奇, 张俊, 董姗姗. 产前超声在胎儿22q11.2 微缺失综合征中的应用价值[J/OL]. 中华医学超声杂志(电子版), 2024, 21(09): 852-858.
[8] 包艳娟, 杨小红, 张涛, 赵胜, 张莉. 阴道斜隔综合征的超声诊断与临床分析[J/OL]. 中华医学超声杂志(电子版), 2024, 21(09): 859-864.
[9] 汪洪斌, 张红霞, 何文, 杜丽娟, 程令刚, 张雨康, 张萌. 低级别阑尾黏液性肿瘤与阑尾黏液腺癌超声及超声造影特征分析[J/OL]. 中华医学超声杂志(电子版), 2024, 21(09): 865-871.
[10] 农云洁, 黄小桂, 黄裕兰, 农恒荣. 超声在多重肺部感染诊断中的临床应用价值[J/OL]. 中华医学超声杂志(电子版), 2024, 21(09): 872-876.
[11] 刘思锐, 赵辰阳, 张睿, 张一休, 杨萌. 多普勒超声对孕鼠子宫动脉不同节段血流动力学参数的评估[J/OL]. 中华医学超声杂志(电子版), 2024, 21(09): 877-883.
[12] 孙佳丽, 金琳, 沈崔琴, 陈晴晴, 林艳萍, 李朝军, 徐栋. 机器人辅助超声引导下经皮穿刺的体外实验研究[J/OL]. 中华医学超声杂志(电子版), 2024, 21(09): 884-889.
[13] 宋勇, 李东炫, 王翔, 李锐. 基于数据挖掘法分析3 种超声造影剂不良反应信号[J/OL]. 中华医学超声杂志(电子版), 2024, 21(09): 890-898.
[14] 张晓燕, 武玺宁, 张一休, 刘真真, 孝梦甦, 李建初. 超声医学科人文素养教育提升医患沟通能力的调查分析[J/OL]. 中华医学超声杂志(电子版), 2024, 21(09): 899-903.
[15] 常小伟, 蔡瑜, 赵志勇, 张伟. 高强度聚焦超声消融术联合肝动脉化疗栓塞术治疗原发性肝细胞癌的效果及安全性分析[J/OL]. 中华普外科手术学杂志(电子版), 2025, 19(01): 56-59.
阅读次数
全文


摘要


AI


AI小编
你好!我是《中华医学电子期刊资源库》AI小编,有什么可以帮您的吗?