切换至 "中华医学电子期刊资源库"

中华医学超声杂志(电子版) ›› 2016, Vol. 13 ›› Issue (10) : 746 -751. doi: 10.3877/cma.j.issn.1672-6448.2016.10.007

所属专题: 文献

腹部超声影像学

超声造影对直径≥1.0 cm胆囊息肉样病变的鉴别诊断价值
费翔1, 罗渝昆1,(), 唐杰1, 李岩密1, 焦子育1, 刘博1, 石怀银1   
  1. 1. 100853 北京,解放军总医院超声科
  • 收稿日期:2016-05-24 出版日期:2016-10-01
  • 通信作者: 罗渝昆
  • 基金资助:
    国家自然科学基金项目(81271588); 国家科技支撑计划课题(2015BAI10B01)

Contrast-enhanced ultrasound in the evaluation of gallbladder polypoid lesions larger than 1.0 cm

Xiang Fei1, Yukun Luo1,(), Jie Tang1, Yanmi Li1, Ziyu Jiao1, Bo Liu1, Huaiyin Shi1   

  1. 1. Department of Ultrasound, PLA general, Beijing 100853, China
  • Received:2016-05-24 Published:2016-10-01
  • Corresponding author: Yukun Luo
  • About author:
    Corresponding author: Luo Yukun, Email:
引用本文:

费翔, 罗渝昆, 唐杰, 李岩密, 焦子育, 刘博, 石怀银. 超声造影对直径≥1.0 cm胆囊息肉样病变的鉴别诊断价值[J/OL]. 中华医学超声杂志(电子版), 2016, 13(10): 746-751.

Xiang Fei, Yukun Luo, Jie Tang, Yanmi Li, Ziyu Jiao, Bo Liu, Huaiyin Shi. Contrast-enhanced ultrasound in the evaluation of gallbladder polypoid lesions larger than 1.0 cm[J/OL]. Chinese Journal of Medical Ultrasound (Electronic Edition), 2016, 13(10): 746-751.

目的

探讨超声造影对直径≥1.0 cm的胆囊息肉样病变的鉴别诊断。

方法

选取2014年5月至2015年12月在解放军总医院就诊的胆囊息肉样病变患者106例,息肉直径≥1.0 cm。患者于术前行胆囊息肉样病变超声造影检查,记录造影动态图像。造影图像分析由2位医师采用盲法完成。根据手术病理结果将研究对象分为肿瘤性息肉组与非肿瘤性息肉组。2组间年龄、息肉直径、息肉基底部宽度等采用t检验;2组间性别,息肉数目、回声、部位及血流情况、胆囊结石、息肉血管形态,增强模式及程度,胆囊壁完整性等计数资料采用χ2检验,多变量的回归分析采用Logistic回归统计方法。

结果

肿瘤性息肉组与非肿瘤性息肉组组间息肉最大直径及彩色血流情况比较,差异均有统计学意义(t=-5.714,χ2=17.609,P均<0.01)。2组间在息肉基底部宽度,点状及分支样血管形态、增强程度、胆囊壁结构完整性方面比较,差异均有统计学意义(χ2=12.527、15.502、22.403、15.403,P均<0.01)。多因素回归分析结果表明,息肉基底部宽度、分支型血管结构是诊断肿瘤性息肉的独立风险因素。超声造影鉴别诊断胆囊肿瘤性息肉与非肿瘤性息肉的敏感度及特异度分别为86.4%、91.7%,阳性预测值为73.1%,阴性预测值为96.3%,诊断符合率90.6%。

结论

对于直径≥1.0 cm的胆囊息肉样病变,超声造影在鉴别肿瘤性息肉与非肿瘤性息肉有较高的临床应用价值,有助于临床医生选择合适的治疗方法。

Objective

To evaluate the usefulness of contrast-enhanced ultrasound (CEUS) in the diagnosis of gallbladder polyp lesion (GPL) with the size larger than 1.0 cm.

Methods

From May 2014 to December 2015, all patients with GPL larger than 1.0 cm in diameter were enrolled in study. All relevant imaging information on gray-scale US and CEUS were documented. Based on the final histopathological results, the patient′s age, gender, size, number, echogenicity, location, vascularity, stalk width, enhancement intensity and mode of GPL, gallbladder wall continuity and gallbladder stone between non-neoplastic polyp group and neoplastic polyp group were analyzed for evaluating the diagnostic value of CEUS.

Results

A total of 106 patients were enrolled in this study. There were difference in size and blood flow of GPL between two groups (t=-5.714, χ2=17.609, P<0.01). The stalk width of the GPL, spotty or branching vascular pattern on CEUS, the degree of enhancement on CEUS and gallbladder wall continuity were significantly different between neoplastic and non-neoplastic groups (χ2=12.527, 15.502, 22.403 and 15.403, P<0.01). Stalk width of the GPL and branching vascular pattern were two independent risk factors according to multivariate statistical analysis. CEUS had a sensitivity of 86.4%, a specificity of 91.7%, a positive predictive value of 73.1%, a negative predictive value of 96.3%, and a diagnostic accuracy of 90.6%.

Conclusion

CEUS can provide adequate information about microcirculation and perfusion of the GBPL and gallbladder wall condition for lesions larger than 1.0 cm.

表1 胆固醇息肉与肿瘤性息肉患者一般资料及常规超声特征
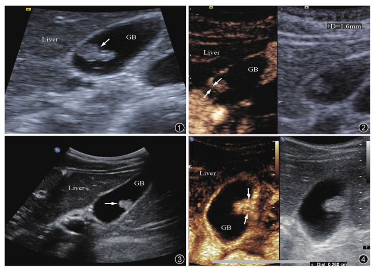
图1~4 肿瘤性息肉与非肿瘤性息肉造影图像基底部宽度。图1 常规超声所示胆囊壁等回声结节(箭头所示),结节最大直径1.1 cm;图2 超声造影动脉期结节基底部较窄(箭头所示),宽度约1.6 mm,手术病理证实为胆固醇息肉;图3 常规超声所示胆囊壁高回声结节(箭头所示),结节最大直径1.1 cm;图4 超声造影动脉期结节基底部较宽(箭头所示),手术病理证实为胆囊腺瘤
图9~10 胆固醇息肉与胆囊腺瘤伴恶变超声造影。图9 示动脉期胆固醇息肉附着处胆囊壁(箭头所示)造影强度与周围胆囊壁相同,呈等增强,附着处与周围胆囊壁完整,无增厚,周围胆囊壁厚约2.3 mm;图10 示腺瘤性息肉伴恶变动脉期造影表现为息肉附着处壁结构(红色箭头所示)与病变分界不清,正常胆囊壁为连续线样增强(白色箭头所示)
表2 肿瘤性息肉与胆固醇息肉超声造影特征统计表
表3 胆囊腺瘤相关风险因素回归分析统计表
[1]
Bhatt NR, Gillis A, Smoothey CO, et al. Evidence based management polyps of the gallbladder: A systematic review of the risk factors of malignancy [J]. Surgeon, 2016, 15. [Epub ahead of print].
[2]
Babu BI, Dennison AR, Garcea G. Management and diagnosis of gallbladder polyps: a systematic review [J]. Langenbecks Arch Surg, 2015, 400(4): 455-462.
[3]
Zemour J, Marty M, Lapuyade B, et al. Gallbladder tumor and pseudotumor: Diagnosis and management [J]. J Visc Surg, 2014, 151(4): 289-300.
[4]
Andrén-Sandberg A. Diagnosis and management of gallbladder polyps [J]. N Am J Med Sci, 2012, 4(5): 203-211.
[5]
Sarkut P, Kilicturgay S, Ozer A, et al. Gallbladder polyps:factors affecting surgical decision [J]. World J Gastroenterol, 2013,19(28): 4526-4530.
[6]
Fei X, Lu WP, Luo YK, et al. Contrast-enhanced ultrasound may distinguish gallbladder adenoma from cholesterol polyps: a prospective case-control study [J]. Abdominal Imaging, 2015, 40(7): 2355-2363.
[7]
Colecchia A, Larocca A, Scaioli E, et al. Natural History of Small Gallbladder Polyps Is Benign: Evidence From a Clinical and Pathogenetic Study [J]. Am J Gastroenterol, 2009, 104(3): 624-629.
[8]
Lee KF, Wong J, Li JC, et al. Polypoidlesions of the gallbladder [J]. Am J Surg, 2004, 188(2): 186-190.
[9]
Choi JH, Yun JW, Kim YS, et al. Pre-operative predictive factors for gallbladder cholesterol polyps using conventional diagnostic imaging [J]. World J Gastroenterol, 2008, 14(44): 6831-6834.
[10]
Kasle D, Rahnemai-Azar AA, Bibi S, et al. Carcinoma in situ in a 7 mm gallbladder polyp: Time to change current practice? [J] World J Gastrointest Endosc, 2015, 7(9): 912-915.
[11]
Park JY, Hong SP, Kim YJ, et al. Long-term follow up of gallbladder polyps [J]. J Gastroenterol Hepatol, 2009, 24(2): 219-222.
[12]
Inoue T, Kitano M, Kudo M, et al. Diagnosis of gallbladder diseases by contrast-enhanced phase-inversion harmonic ultrasonography [J]. Ultrasound Med Biol, 2007, 33(3): 353-361.
[13]
Aldouri AQ, Waytt MJ, Khan S, et al. The risk of gallbladder cancer from polyps in a large multiethnic series [J]. Eur J Surg Oncol, 2009, 35(1): 48-51.
[1] 章建全, 程杰, 陈红琼, 闫磊. 采用ACR-TIRADS评估甲状腺消融区的调查研究[J/OL]. 中华医学超声杂志(电子版), 2024, 21(10): 966-971.
[2] 罗辉, 方晔. 品管圈在提高甲状腺结节细针穿刺检出率中的应用[J/OL]. 中华医学超声杂志(电子版), 2024, 21(10): 972-977.
[3] 杨忠, 时敬业, 邓学东, 姜纬, 殷林亮, 潘琦, 梁泓, 马建芳, 王珍奇, 张俊, 董姗姗. 产前超声在胎儿22q11.2 微缺失综合征中的应用价值[J/OL]. 中华医学超声杂志(电子版), 2024, 21(09): 852-858.
[4] 孙佳丽, 金琳, 沈崔琴, 陈晴晴, 林艳萍, 李朝军, 徐栋. 机器人辅助超声引导下经皮穿刺的体外实验研究[J/OL]. 中华医学超声杂志(电子版), 2024, 21(09): 884-889.
[5] 宋勇, 李东炫, 王翔, 李锐. 基于数据挖掘法分析3 种超声造影剂不良反应信号[J/OL]. 中华医学超声杂志(电子版), 2024, 21(09): 890-898.
[6] 史学兵, 谢迎东, 谢霓, 徐超丽, 杨斌, 孙帼. 声辐射力弹性成像对不可切除肝细胞癌门静脉癌栓患者放射治疗效果的评价[J/OL]. 中华医学超声杂志(电子版), 2024, 21(08): 778-784.
[7] 李洋, 蔡金玉, 党晓智, 常婉英, 巨艳, 高毅, 宋宏萍. 基于深度学习的乳腺超声应变弹性图像生成模型的应用研究[J/OL]. 中华医学超声杂志(电子版), 2024, 21(06): 563-570.
[8] 洪玮, 叶细容, 刘枝红, 杨银凤, 吕志红. 超声影像组学联合临床病理特征预测乳腺癌新辅助化疗完全病理缓解的价值[J/OL]. 中华医学超声杂志(电子版), 2024, 21(06): 571-579.
[9] 项文静, 徐燕, 茹彤, 郑明明, 顾燕, 戴晨燕, 朱湘玉, 严陈晨. 神经学超声检查在产前诊断胼胝体异常中的应用价值[J/OL]. 中华医学超声杂志(电子版), 2024, 21(05): 470-476.
[10] 胡可, 鲁蓉. 基于多参数超声特征的中老年女性压力性尿失禁诊断模型研究[J/OL]. 中华医学超声杂志(电子版), 2024, 21(05): 477-483.
[11] 张妍, 原韶玲, 史泽洪, 郭馨阳, 牛菁华. 小肾肿瘤超声漏诊原因分析新思路[J/OL]. 中华医学超声杂志(电子版), 2024, 21(05): 500-504.
[12] 席芬, 张培培, 孝梦甦, 刘真真, 张一休, 张璟, 朱庆莉, 孟华. 乳腺错构瘤的临床与超声影像学特征分析[J/OL]. 中华医学超声杂志(电子版), 2024, 21(05): 505-510.
[13] 陈意志. 核磁共振钆造影剂导致的肾源性系统性纤维化[J/OL]. 中华肾病研究电子杂志, 2024, 13(06): 358-358.
[14] 杜霞, 马梦青, 曹长春. 造影剂诱导的急性肾损伤的发病机制及干预靶点研究进展[J/OL]. 中华肾病研究电子杂志, 2024, 13(05): 279-282.
[15] 张琛, 秦鸣, 董娟, 陈玉龙. 超声检查对儿童肠扭转缺血性改变的诊断价值[J/OL]. 中华消化病与影像杂志(电子版), 2024, 14(06): 565-568.
阅读次数
全文


摘要


AI


AI小编
你好!我是《中华医学电子期刊资源库》AI小编,有什么可以帮您的吗?